导航下全切额顶叶巨大恶性脑瘤
发布时间: 2012年11月22日 出处:综合神经外科 编辑:谢莉 点击次数:85985
一周前陈女士出现头部胀痛,伴右侧肢体麻木、乏力,当地医院给予对症治疗,但头痛还是越来越重。
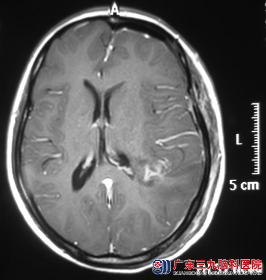
CT检查提示:左侧额顶叶囊实性占位;广东三九脑科医院头颅MR检查提示:左侧额顶叶示一较大的囊实性占位性病变影,病变实性部分边界不清,囊性不稳边界清楚,大小约为67.3mm×65.2mm×64.8mm,脑干明显受压,左侧环池变窄。
额叶和顶叶的手术有可能会影响到病人的认知、运动功能,同时陈女士的精神状态差,手术风险非常大。
完善相关检查后,综合神经外科 鲁明主任主刀,在神经导航辅助下行左侧额顶叶肿瘤切除术。术中见皮层下肿瘤呈胶冻状,质软,血供丰富,连同皮层病变脑组织及肿瘤组织在显微镜下全切,过程顺利。http://www.999brain.com/
术后陈女士头痛、肢体乏力症状明显改善。病理结果为:间变型星形细胞瘤。

▲手术前

▲手术后
【我要咨询】 13602473181 15915766180
【了解更多】 综合神经外科
【QQ聊聊】: 1194617505
