成功全切罕见的颅内巨大黑色素瘤
发布时间: 2013年02月20日 出处:综合神经外科 编辑:谢莉 点击次数:82285
最近几天,每到凌晨邓小姐总是能听到隔壁弟弟的房间里传出奇怪的声音,约2分钟后消失。
好奇的她终于推开弟弟的房门,眼前的一幕让她吓呆了:20岁的弟弟正双眼上翻、口吐白沫、四肢屈曲并痉挛,呼之不应,约两分钟后抽搐停止,十分钟后逐渐清醒,四肢乏力,不能回忆当时发生的事情。
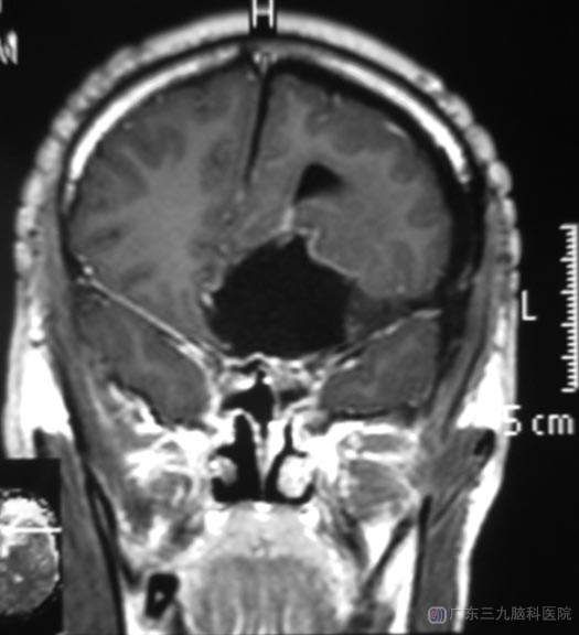
当地医院CT检查提示:前颅窝占位;广东三九脑科医院头颅磁共振检查提示病变大小约62.4mm×61.6mm×45.8mm。弟弟告诉综合神经外科的鲁明主任,四年前就出现嗅觉减退、鼻塞,以右侧为重,没有给予重视。
完善检查后,鲁明主任主刀,在全麻下行冠状切开左额入路前颅窝底肿瘤切除术。术中见肿瘤呈灰褐色,位于前颅窝底,质中,显微镜下分块全切,术中视神经、颈内动脉及其分支保护完好。术后,嗅觉较术前好转。病理结果:恶性黑色素瘤。

▲术前MR

▲切除的肿瘤

▲术后MR
【广东三九脑科医院综合神经外科 鲁明主任解析】
原发性颅内黑色素瘤十分罕见,国内报道占颅内肿瘤的0.07%~0.17%,以男性青壮年居多。临床表现不具有特征性,如只侵犯脑膜或大脑皮层者可表现为癫痫发作。恶性程度极高,病程常很短,发展快,诊断、治疗困难。
目前颅内黑色素瘤的治疗均以手术切除为主,术后多主张给予放疗,手术切除结合放射治疗可有效控制局部病灶,延长患者生存时间。
【我要咨询】 13602473181 15915766180
【了解更多】 综合神经外科
【QQ聊聊】: 1194617505
