突然晕厥 脑瘤偷袭
发布时间: 2013年02月26日 出处:综合神经外科 编辑:谢莉 点击次数:79078
高先生一直是身体健康,体检指标正常。
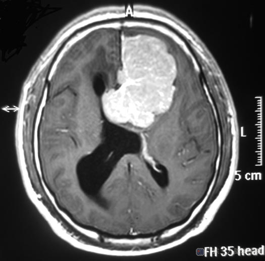
这天早晨八点左右,家人发现他进了卫生间后好久都没有出来,撬开门,发现高先生晕厥在里面。“120”急送当地医院,当时他双侧面部潮红,小便失禁,约一小时后神志清醒,不能回忆,没有不适感觉。头颅CT检查提示:左侧前颅窝占位;广东三九脑科医院头颅MR检查提示左侧额部镰旁占位,大小约54.5mm×68.6mm×55.1mm,邻近双侧侧脑室、胼胝体及脑组织明显受压,综合神经外科 鲁明主任初步考虑为脑膜瘤。

鲁主任告诉家属,脑膜瘤属于良性肿瘤,生长慢,病程长,呈膨胀性生长;因肿瘤生长缓慢,所以肿瘤往往长得很大了,临床症状还不严重,多数是为偶然发现。随着显微手术技术的发展,脑膜瘤的手术效果不断提高,手术切除脑膜瘤是最有效的治疗手段,使大多数病人能得以治愈。
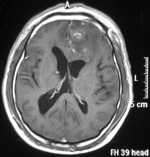
完善术前准备后,鲁明主任主刀,在全麻下行左侧额部大脑镰旁脑膜瘤切除术,显微镜下见肿瘤呈肉红色,质软,血供丰富,边界清楚,完整切除肿瘤,嗅神经、双侧大脑前及骈周动脉保留完好。术后高先生很快康复。病理结果为:过渡型脑膜瘤(WHO I级)。

【我要咨询】 13602473181 15915766180
【了解更多】 综合神经外科
【QQ聊聊】: 1194617505
