慧眼识脑瘤
发布时间: 2013年03月25日 出处:综合神经外科 编辑:谢莉 点击次数:67061
今年春节,广东三九脑科医院综合神经外科(外五科) 邓星海医生回老家走亲访友。聊家常时,听大姨随意地说起七个月前开始出现右耳听力下降,一周前开始出现走路不稳,并伴有恶心感。凭着职业的敏感,邓医生劝大姨最好去医院做个头颅检查。
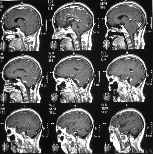
元宵节后才三天,大姨就急急忙忙地来到广东三九脑科医院,头颅MR检查提示右侧桥小脑角区占位,大小约3.5cm×4cm×4.7cm。大姨一下子傻眼了,还真是脑瘤!
邓医生告诉他们:脑肿瘤一经确诊,首选的方法是手术切除治疗。
综合神经外科 鲁明主任主刀,在全麻下行右侧桥小脑角区肿瘤切除术,显微镜下见淡黄色肿瘤组织位于右侧桥小脑角,电生理监测下用超声刀分块切除肿瘤,对面神经、三叉神经、舌咽神经、副神经、迷走神经及脑干等重要结构均保留完整。术后病理结果:神经鞘膜瘤。

手术前

手术后
【我要咨询】 13602473181 15915766180
【了解更多】 综合神经外科
【QQ聊聊】: 1194617505
