易复发的颅内胆脂瘤
发布时间: 2013年03月29日 出处:综合神经外科 编辑:谢莉 点击次数:76692
颅内胆脂瘤是起源于异位胚胎残余组织的先天性良性肿瘤,比较大并且引起症状的时候必须行手术治疗。这种肿瘤很难全切净,所以容易复发,对于曾接受手术治疗、病理确诊的患者,需要定期影像复查以求早期发现肿瘤的复发。
【典型病例】
严姐12年前因视力减退去医院就诊,影像检查发现:左侧中后颅窝占位性病变,术后病理结果:胆脂瘤。手术治疗后出现左侧面部麻木症状。
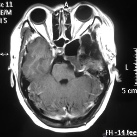
半年前,严姐的面部麻木以及眼部发作性抽搐等症状逐渐加重。去年10月在陪同表妹来广东三九脑科医院治疗的时候,听从医生的建议顺便复查了一下,结果显示:左侧中后颅窝占位性病变,考虑胆脂瘤复发,大小为:5.9cm×4.0cm×4.1cm。

今年3月份,严大姐入住广东三九脑科医院综合神经外科,查体:左侧额颞部可见一陈旧马蹄形切口;左侧眼球结膜稍充血,左侧眼球外向及向上运动障碍,粗侧左侧视野出现复视;左侧面部麻木,左侧面部肌肉较右侧萎缩,左侧咬肌肌力较对侧差。
讨论病情后,由鲁明主任主刀在全麻下硬脑膜外入路行左侧中后颅窝复发胆脂瘤切除术。术中见硬脑膜下有黄白色肿瘤组织,质地疏松。术后,麻木感较前减轻,她的左侧眼睛充血以及眼球运动也基本恢复正常。

【我要咨询】 13602473181 15915766180
【了解更多】 综合神经外科
【QQ聊聊】: 1194617505
