偶尔上网发现脑瘤,及时就医挽回一命
发布时间: 2013年04月10日 出处:垂体瘤诊疗中心 编辑:谢莉 点击次数:73242
李姐,一年前视力开始下降,虽然是雾里看花,但并没有引起注意;最近一段时间自觉月经量减少甚至出现了闭经;二周前突然出现左眼视物模糊,伴有头晕等症状。
身体给了李姐这么多的信号,但是,她还是没有去医院。
在一次上网中,无意中搜寻到垂体瘤的相关知识,她觉得很符合自己的症状,于是去当地医院进行脑部检查,发现:鞍区病变,考虑垂体瘤的可能性大!
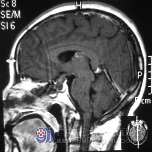
这回可不敢再大意,李姐及家人马不停蹄地来到广东三九脑科医院垂体瘤诊疗中心。头颅MR见肿瘤大小约为2.0×?xml:namespace>
鲁明主任主刀,术前制定导航计划,术中再次导航定位肿瘤;术中见肿瘤伴有卒中,呈灰白色,质软,易吸出,包膜完整,镜下肿瘤全切除;鞍膈下陷,无脑脊液流出,术中未损伤视神经,修补颅底,经过顺利。术后未出现尿崩、离子紊乱、脑脊液漏等并发症,李姐的视力明显改善。术后病理:泌乳性垂体瘤。

手术前

手术后
【广东三九脑科医院垂体瘤诊疗中心鲁明主任点评】
垂体瘤卒中又称垂体卒中视力受损,是指瘤体内出血、坏死导致。临床发展过程常难以预测,可以无症状或症状较稍微,也可以起病急骤,症状严重,表现为一种临床危象,患者剧烈头痛,并迅速出现不同程度的视力减退,严重者可在数小时内双目失明,常伴眼外肌麻痹,可出现神志模糊、定向力障碍、颈项强直甚至突然昏迷。
垂体泌乳素大腺瘤卒中,又没有侵犯海绵窦的话,可以首选手术治疗。目前垂体腺瘤的经蝶手术技术已经很成熟,一般不会出现有永久性的并发症。
【我要咨询】 13602473181 15915766180
【QQ聊聊】: 1194617505
