误诊为恶性的良性脑膜瘤
发布时间: 2013年04月28日 出处:综合神经外科 编辑:谢莉 点击次数:75786
大明一年前出现头晕、头痛,间断发作,每次持续约10分钟后自行缓解。
一天前出现持续性头晕,持续时间约5小时,在当地医院行脑血管扩张治疗,效果不佳。头颅CT检查提示:左侧颞枕叶占位性病变,考虑少突胶质细胞瘤。医生告诉家属:恶性肿瘤的可能性很大。
头晕竟是脑袋里长了恶性肿瘤!大明难以接受这样的结果,一向乐观开朗的他突然变得心灰意冷。家里人觉得儿子正值青年,现在的医疗技术这么发达,应该可以得到很好的治疗。他们决定去脑专科医院看看。
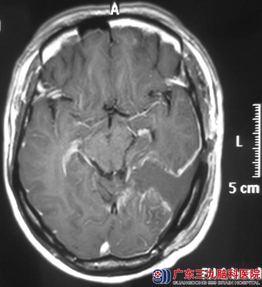
广东三九脑科医院头颅MR检查提示左侧颞枕部一不规则分叶病灶,大小约45.8mm×46.9mm×29.4mm。综合神经外科鲁明主任凭借多年的临床经验初步判断是脑膜瘤的可能性大。
完善检查后,由鲁明主任主刀,在全麻下行左侧颞枕部小脑幕上脑膜瘤切除术,术中显微镜下见淡红色肿瘤组织,质软、血供丰富、边界清楚,肿瘤基底位于小脑幕上,分块完整切除。术后病理结果为:过渡型脑膜瘤(WHO I级)伴钙化。

手术前

手术后
【我要咨询】 13602473181 15915766180
【了解更多】 综合神经外科
【QQ聊聊】: 【1194617505】【1003052871】
