且痛且忍“养”脑瘤
发布时间: 2014年04月29日 出处:综合神经外科 编辑:谢莉 点击次数:55167
苏姨的偏头痛,她自己也记不清有多少年了。
头痛是断断续续地发作,想想这是常见病,很多人都会有,加上孩子们都还小,抽不出时间去医院仔细检查,忍一忍也就过去了。所以一直没有去医院。
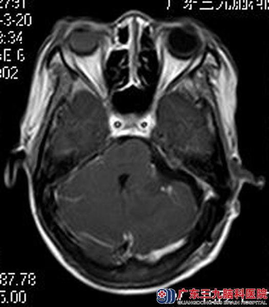
孩子们大了后,觉得母亲这么痛苦,总该要去医院找找原因。当地医院行头颅CT检查提示桥小脑角占位,考虑脑肿瘤。这么长时间的头痛是因为脑袋里有肿瘤,子女们觉得母亲是为了他们才耽误了病情,急急忙忙地带着她来到广东三九脑科医院。头颅MR检查,结果提示左侧桥小脑角区占位,大小约44.4mm×31.0mm×41.5mm,考虑脑膜瘤可能性大。
综合神经外科鲁明主任主刀,在全麻下行左侧桥小脑角肿瘤切除术,术中见左侧小脑外侧前缘有一稍透明样肿瘤生长,边界稍清楚,质地中,血供较丰富。置显微镜,沿肿瘤靠近颅骨处切除肿瘤根部,肿瘤根部靠近蝶骨脊后缘骨膜上,左侧面神经及听神经被挤压至小脑表面,肿瘤血肿一般,分块切除肿瘤。电生理监测保护下切除肿瘤,神经保留完整,手术顺利,术后无后组颅神经损害症状,偏头痛也没再光临。术后病理结果:纤维型脑膜瘤。

▲手术前

▲手术后
【广东三九脑科医院综合神经外科鲁明主任点评】
头痛、呕吐是脑肿瘤发出的信号之一,苏女士早期自认为是“偏头痛”,未予重视,至发现时肿瘤已很大,给手术带来很大的风险,所幸的是,我们有多年的手术经验,借助高端的设备及电生理监测,术中对神经保护完好,未出现后组颅神经损害症状。
