好大一个瘤
发布时间: 2014年05月19日 出处:综合神经外科 编辑:谢莉 点击次数:55235
摘要:诊断脑膜瘤在临床上并不困难,影像检查就可以明确;但由于脑膜瘤多位于脑外非功能区,生长速度缓慢,早期很少有局灶症状,随着肿瘤缓慢生长,脑组织逐渐适应肿瘤的压迫,因此,即使肿瘤形成巨大的占位,周围脑组织已经严重受压变形,患者仍可以是很轻微的症状。
诊断脑膜瘤在临床上并不困难,影像检查就可以明确;但由于脑膜瘤多位于脑外非功能区,生长速度缓慢,早期很少有局灶症状,随着肿瘤缓慢生长,脑组织逐渐适应肿瘤的压迫,因此,即使肿瘤形成巨大的占位,周围脑组织已经严重受压变形,患者仍可以是很轻微的症状。
丘先生三个月前出现间断性头痛,妻子以为他是长时间使用电脑所导致,实行了“禁网令”,不让他再接触电脑,但是丘先生的头痛症状并没有好转,程度反而在加重。
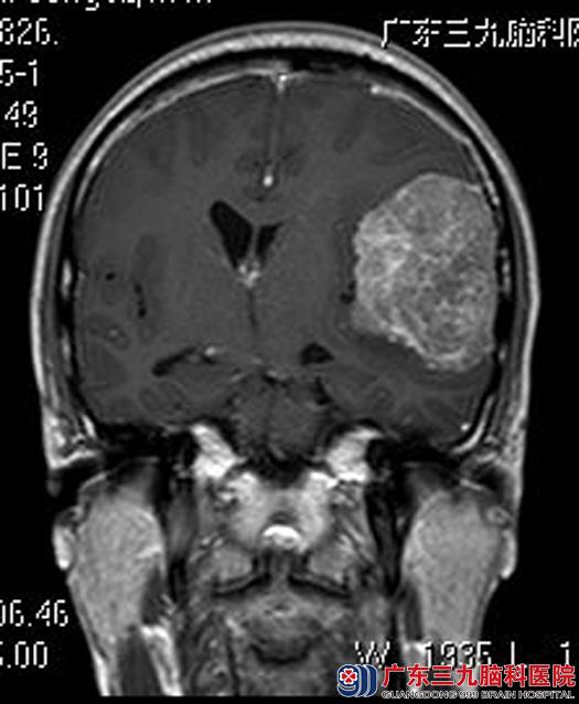
在亲属的陪同下,他们来到广东三九脑科医院。头颅MRI检查显示:左侧额颞部占位性病变,大小约6.9cm×3.9cm×6.2cm,考虑脑膜瘤。

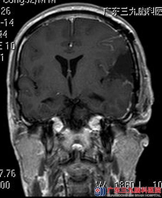
由综合神经外科鲁明主任主刀,在全麻下行左侧额颞部脑膜瘤切除术,术中见肿瘤明显侵犯硬模,呈灰褐色,质中,血供丰富,在显微镜下将肿瘤全切。术后丘先生头痛症状明显好转,已康复出院。术后病理结果:过渡型脑膜瘤。

