晕,脑膜瘤
发布时间: 2014年07月17日 出处:综合神经外科 编辑:谢莉 点击次数:51415
头晕,很多人都有过,饿时会头晕、经期前后会头晕,蹲久了站起来会头晕……。很多时候不会是大毛病。
林先生也是这么想的,两次严重的晕厥他都没有去医院,幸亏一次外伤,要不然还一直蒙在鼓里。
一年前他莫名其妙地出现晕厥,醒后不能回忆事情经过。两周前再次晕厥,并且摔伤了头部,为了了解颅内是否有出血,他去了医院,CT检查提示颅内占位,考虑脑膜瘤。
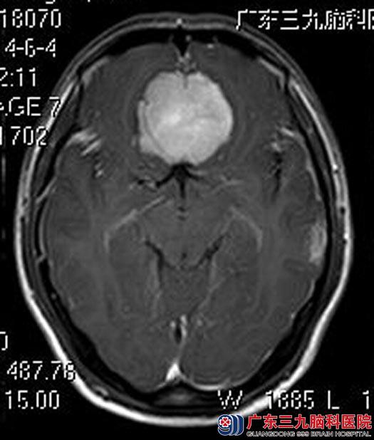
在广东三九脑科医院进一步MR检查提示:前颅窝底占位性病变,大小约45.3mm×46.9mm×26.4mm,头颅CTA提示:前颅窝底软组织肿块,血供丰富,双侧大脑前动脉A2段受压,其主干贴于肿块表面,右侧额极动脉部分段被包埋。
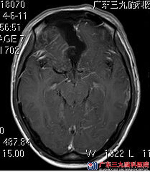
鲁明主任建议手术切除。经家属同意后,由鲁主任主刀,在全麻下行前颅窝底脑膜瘤切除术,术中显微镜下见一质地较中的肿瘤,血供一般,镜下分块切除肿瘤,手术顺利。术后林先生头晕症状好转,康复出院。术后病理结果:过渡型脑膜瘤。

手术前

手术后
