中颅窝、鞍旁的巨大神经鞘瘤
发布时间: 2014年08月13日 出处:综合神经外科 编辑:谢莉 点击次数:52649
丽姐一年前开始出现左眼视力下降,并且进行性加重,没有引起重视。
近一月来,她的右眼也开始出现视力下降。眼睛到底是怎么了?
为查找原因,丽姐去当地医院就诊,查体:左眼20cm数指,右眼视力4.5。继续追问病史,知道她之前伴有间断性头痛,医生建议行脑部的影像检查, MR结果示:左侧中颅窝、鞍旁巨大占位,考虑神经鞘瘤可能。
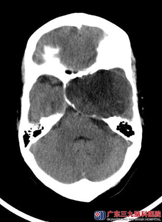
广东三九脑科医院神经外五科鲁明主任建议行头颅CTA检查进一步了解肿瘤血供情况,结果提示:左侧中颅窝示一卵圆形囊实性占位性病变,大小约69.4mm×51.9mm×63.9mm,其内可见多条小血管走行,邻近颅骨受压变薄,左侧颈内动脉受压变形并向右移位,左侧大脑中动脉受压向上、向前移位。
讨论后,决定由鲁明主任主刀,在全麻下行左侧前、中、后颅窝巨大肿瘤切除术,术中显微镜下见灰白色肿瘤组织,肿瘤位于硬膜外,边界清,血供一般,予显微镜下小心分离,分块切除,肿瘤与海绵窦粘连紧密,小心剥离后将肿瘤全切,视神经、动眼神经、滑车神经、外展神经、三叉神经均保护完好。术后丽姐感觉双眼视力明显好转。病理结果:神经鞘瘤。

手术前

手术后
