被动脉包绕、与脑干粘连的听神经瘤
发布时间: 2014年08月25日 出处:综合神经外科 编辑:谢莉 点击次数:55858
周女士和姐姐的感情最要好,虽相隔两地但经常电话联络。
最近姐姐发现妹妹的听力怎么那么差,俩人讲电话就像吵架似的,建议妹妹去医院检查一下。经姐姐一提醒,周女士注意到最近的确是有左侧耳鸣伴有听力下降,并且伴有头痛等不适,在当地医院行头颅CT检查告知:颅内占位。
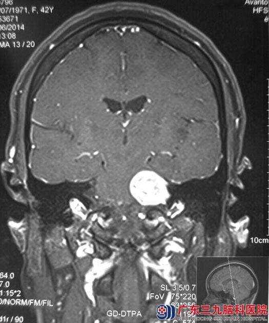
广东三九脑科医院头颅MRI检查提示左侧桥小脑角区示一圆丘状占位,大小约3.09cm×2.27cm×2.82cm,考虑神经鞘瘤可能性大,综合神经外科鲁明主任建议行手术切除治疗。
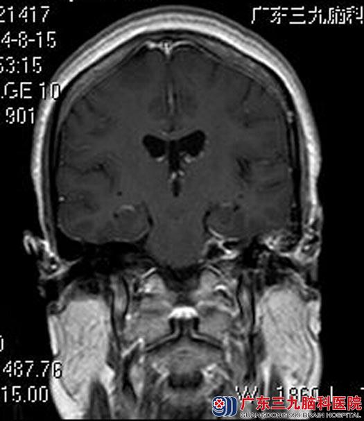
全麻下行左侧桥小脑角占位病变切除术,显微镜下见肉红色肿瘤组织,包膜完整,被小脑前下动脉包绕,质中,血供丰富,肿瘤与面听神经及脑干粘连明显,予分离后行肿瘤全切,术中对三叉神经、面神经、听神经、脑干均保护完好。手术后周女士耳鸣症状较前好转、康复出院。术后病理结果:听神经瘤。

手术前

手术后
鲁明主任解析:神经瘤属良性肿瘤,如能完全切除,可获得永久性治愈。由于听神经瘤与脑干毗邻,手术较为复杂。术后并发症最常见为面神经损伤,肿瘤大时可能伤及三叉神经、积舌咽神经,迷走神经或脑干,出现暂时或永久周围性面瘫,吞咽困难,神经角膜炎等,伤及小脑后下动脉及小脑前下动脉导致延髓桥脑的部分软化是听神经瘤术后死亡的重要原因。
该患者的听神经瘤被小脑前下动脉包绕,与面听神经及脑干粘连明显,但手术后没有出现并发症实属不易。
