孩子常呕吐,提防脑肿瘤
发布时间: 2022年04月22日 出处:神经外五科 作者:刘映红 编辑:XL 点击次数:8862
小妍今年4岁,之前身体不错,只是偶尔有肠胃炎。一个月前小妍出现恶心、呕吐,爸妈刚开始没太在意,后来除了恶心、呕吐,偶尔还会有头痛,父母带他到当地卫生院检查,被诊断为胃肠炎,给予口服药物对症处理。但是,治疗几天后情况并没有好转。
一个星期前,小妍的头痛症状加重,并出现反复恶心及呕吐。父母着急了,于是到当地人民医院就诊,行头颅MR检查,结果显示:鞍区占位性病变,梗阻性脑积水,当地医院建议手术治疗。他们想起几年前,小妍的父亲在广东三九脑科医院神经外五科做过手术,治疗效果很好。
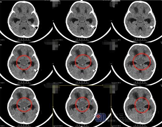
于是,他们联系了之前的主管医生——神经外五科副主任卢建侃,卢建侃看过小妍的头颅MR检查报告后认为:孩子脑积水严重,应尽快手术治疗。小妍父母一点不敢耽搁,赶紧带着孩子来到广东三九脑科医院。我院头颅CT提示:鞍上占位性病变、脑积水。这是的小婷已经是嗜睡状了。

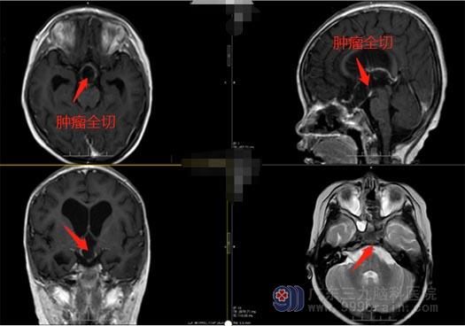
鲁明副院长和神经外五科王国良主任带领治疗团队进行了详细的病例讨论:患儿嗜睡状,哭声间断,呕吐,头颅CT提示鞍内、鞍上、三脑室巨大占位:颅咽管瘤?梗阻性脑积水。患者脑积水严重,家属同意后急诊给予脑室外引流;次日行鞍内、鞍上、三脑室巨大占位切除术,术中见肿瘤起源于垂体柄中央,瘤内减压后沿着肿瘤的包膜切除肿瘤,患者双侧下丘脑被肿瘤侵犯,予肿瘤全切,手术过程顺利。


术后第4天,小妍的精神已恢复很多,跟父母嚷着要吃棒棒糖。眼看着孩子恢复得越来越好,很快就能回家了。小妍父亲感叹:孩子出现恶心、呕吐时,确实不能马虎大意。



