十年头痛和八公分的脑瘤
发布时间: 2014年10月24日 出处:综合神经外科 编辑:谢莉 点击次数:58533
有个头疼脑热什么的,一般人都会选择去看医生。但原本就背井离乡打工一族的朱女士,却总是一直扛着,她无奈地想:看病不但费钱,而且耽搁工夫。每次发作持续时间约几分钟至几小时,双侧额颞部间歇性头痛,休息后可自行缓解,也就不再当回事。
一个月前头痛再次发作,难以忍受,休息后不能缓解,伴有恶心。在当地医院行头颅CT检查发现颅内病变,考虑脑肿瘤。
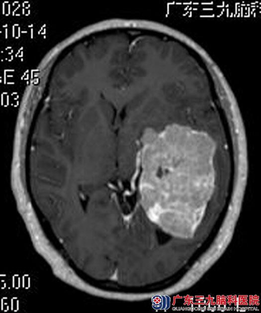
入住广东三九脑科医院综合神经外科,头颅MR检查提示:左侧颞叶区小脑天幕上方示一巨大不规则团块状肿块影,大小约为8.1cm×5.1cm×5.9cm;头颅CTA检查提示肿瘤血供极其丰富,左侧大脑中、后动脉受压移位。

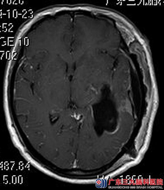
脑膜瘤是颅内常见的良性肿瘤,对药物和放射治疗均不敏感,手术切除是可供选择的方法。完善相关检查后,由鲁明主任主刀,在全麻下行左侧小脑幕山巨大脑膜瘤切除术,术中显微镜下见淡红色肿瘤组织,质韧,血供丰富,予电磁刀全切肿瘤。术后,朱女士恢复很好,已康复出院。术后病理结果:脑膜瘤。
