粘连严重的听神经瘤
发布时间: 2014年11月27日 出处:综合神经外科 编辑:谢莉 点击次数:54529
史先生五年前出现左侧耳鸣、听力下降,在耳科治疗,效果不佳,也没有进行进一步检查治疗。两周前耳鸣症状加重,听力下降明显,伴有头痛、头晕,在当地医院就诊,头颅CT检查提示:左侧桥小脑角占位,考虑肿瘤性病变。
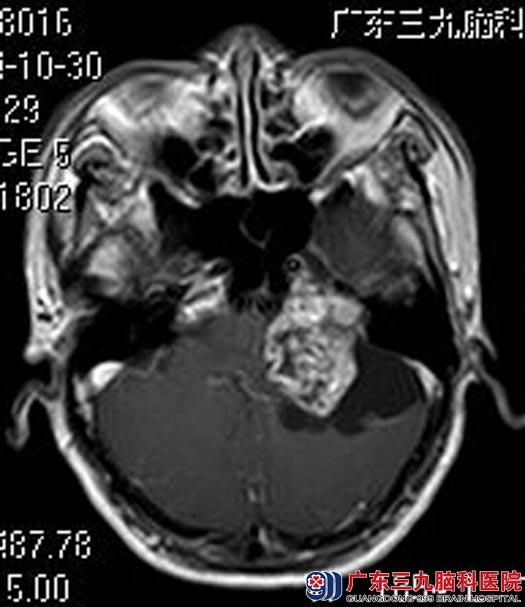
在广东三九脑科医院进一步MR检查发现:左侧桥小脑角一团块状囊实性占位性病变,大小约4.26×3.35×3.06cm,考虑听神经瘤可能性大。

完善相关检查后,综合神经外科鲁明主任主刀,在全麻下行左侧桥小脑角区肿瘤切除术,术中见肿瘤位于左侧桥小脑角,呈囊实性改变,切开囊壁,放出淡黄色囊液,肿瘤实质部分呈黄白色,质中,血供丰富,予显微镜下电凝分块切除,术中电生理监测,左侧听神经、面神经、三叉神经与肿瘤紧密粘连,经细心分离以完整保留,肿瘤基底部位于左侧内听道,予刮匙刮除内听道内肿瘤,手术顺利。术后史先生未出现后组颅神经损伤症状,已康复出院。术后病理结果:听神经瘤。

手术后
