肿瘤治疗莫迷信中药
发布时间: 2014年12月31日 出处:综合神经外科 编辑:谢莉 点击次数:51594
在肿瘤的治疗过程中,中药可以提高机体的免疫力,促进身体的恢复,同时可减轻放化疗的毒副反应,增强其敏感性,为放疗、化疗保驾护航;在康复期,也可以使用中药进行调理。但很多患者在治疗方面存在误区,错把中药当成救命仙丹。
早在今年初,林先生因为头痛去医院检查,发现颅内长有肿瘤,他惧怕手术,担心后遗症,正好听说中药治疗肿瘤效果好、花费少、不开刀、不痛苦。服用中药10个多月后,复查头颅MR提示肿瘤较前增大,林先生感觉头痛症状也较前加重,严重时伴有恶心等症状,为了不再延误治疗,家人劝他来到广东三九脑科医院综合神经外科。
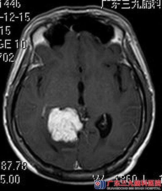
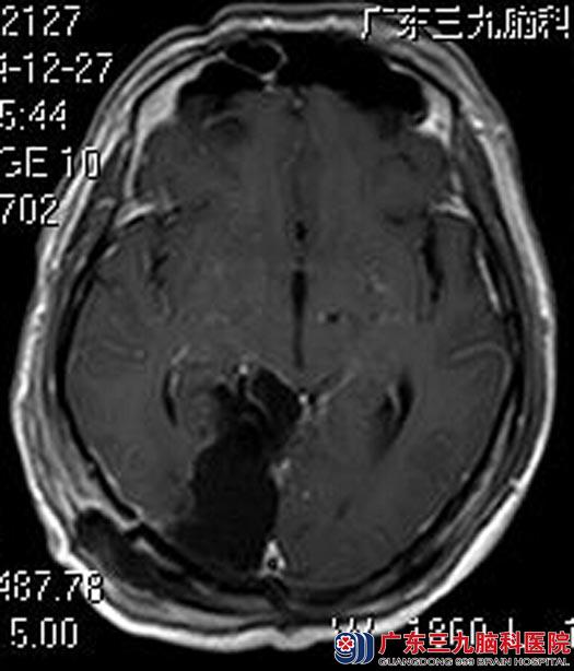
进一步头颅MR检查提示:右侧颞枕部内侧(小脑天幕上、下)示一团块状占位性病变,大小约4.29cm×4.18cm×4.51cm;头颅CTA检查提示:右侧颞枕部内侧(小脑天幕上、下)占位性病变,血供丰富、内示多发细小血管影,双侧大脑后动脉分支包绕病变(右侧为主),考虑脑膜瘤。由于肿瘤血供丰富,经讨论,术前行肿瘤部分供血血管栓塞术,术中栓塞左侧大脑后动脉远端、左侧大脑上动脉分支远端。次日,由鲁明主任主刀在全麻下行经popen入路松果体脑膜瘤切除术,术中见灰白色肿瘤组织,跨小脑幕,血供丰富,边界清晰,予显微镜下逐步分离分块切除,右侧大脑后动脉P3段、右侧小脑上动脉分支主要参与肿瘤供血,予动脉瘤夹肿瘤基底部位于小脑幕,肿瘤镜下全切。术后林先生恢复很好。病理结果:皮细胞型脑膜瘤(WHO I级)。

手术前

手术后
