跨越国界的生命重托
发布时间: 2012年04月18日 出处:综合神经外科 编辑:谢莉 点击次数:20876
MOHAMED EISSA ABDELHAMID SELIM是埃及人,2006年3月出现头痛、视物模糊,在当地AINSHAMS医院就诊,查头颅CT提示:“左侧额颞部肿物”,行手术治疗,术后病理:“脑膜瘤,WHOII级”,术后予以放疗。2011年11月肿瘤复发,再次手术治疗。2012年1月份,他的左眼开始突出,伴有头痛,左眼部疼痛。
两次开颅手术以及放疗,短短时间内又再次复发,MOHAMED EISSA ABDELHAMID SELIM痛苦万分,他萌发了异国求医的念头,最终是选择了广东三九脑科医院。http://www.999brain.com/
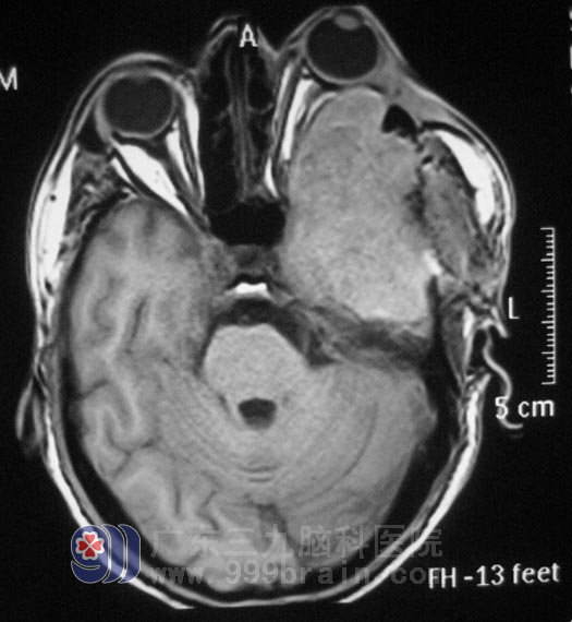
在综合神经外科,鲁明主任仔细了解病情:患者左眼外凸约2cm,充血明显,视力下降,眼球活动固定,头颅CT见病灶大小约57.7mm×85.4mm×75mm,相邻左侧颧弓、左侧额颞骨(累计左侧眼眶外侧壁、左侧上颌窦外侧壁)、蝶骨大翼左侧骨质吸收破坏,病灶向前突入眶外后,左侧眼球、左侧眼外肌受压前移并左眼明显突出,邻近左侧额颞叶脑组织受压,左侧额颞部骨质不连续。
手术难度很大。http://www.999brain.com/
全院专家会诊后,一致意见:保留左眼球,先行肿瘤部分供血血管栓塞,再行手术切除。
全麻下行全脑血管造影术+左侧蝶骨嵴脑膜瘤栓塞术,栓塞手术顺利完成,患者没有出现任何不良反应。3月11日,由鲁明主任主刀,在全麻下行左侧前中颅窝沟通脑膜瘤切除+颅底钛网重建+左胸大肌肌皮瓣血管化游离移植颅底填充术。手术去除左眼眶上壁及外侧壁,暴露前中颅窝底、颞下窝,即见肿瘤位于左侧前中颅窝底,并侵入颞下窝,血供丰富,于显微镜下用电磁刀、激光刀分块切除肿瘤,肿瘤内侧于海绵窦粘连紧密,小心分离全切肿瘤;分离左侧胸大肌肌皮瓣,并通过皮下隧道移植到左侧颞肌、颞下窝区,显微镜下将舌动脉与胸大肌肌皮瓣动脉吻合,并将2条回流静脉吻合;适当缝合固定眼球,分层缝合胸部、颈部、头皮伤口。手术历时16小时。术后病理结果为:不典型脑膜瘤 WHO II级。
经过治疗,他的左侧眼球回缩,头痛症状明显好转,已顺利出院。
中国医生的水平、广东三九脑科医院的技术,让MOHAMED EISSA ABDELHAMID SELIM和他的家人及朋友们啧啧称赞。

▲手术前

▲手术后
【我要咨询】 13602473181 15915766180
【了解更多】 综合神经外科
