视力、视野障碍——鞍结节脑膜瘤最常见的首发症状
发布时间: 2019年10月15日 出处:神经外五科 作者:覃金花 编辑:XL 点击次数:7806
49岁的左女士,今年春节以后,左眼出现看东西模糊、怕光,稍微有强光刺激,就不敢睁眼,还会流泪不止。她很纳闷,自己的年纪不算大啊,怎么眼睛就不行了?
几天前,她被孩子的玩具碰到了眼睛,疼坏了左女士自行冲洗后去当地医院就诊,检查后确认她的眼睑结膜有些问题,治疗了几天效果不明显,医生建议头部影像检查,MR检查提示脑膜瘤可能性大。
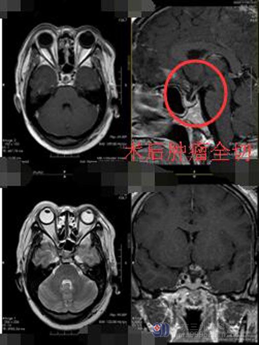
慌了神的左女士为进一步确认病情,在家人陪同下来到了广东三九脑科医院。在神经外五科,初步诊断为鞍结节占位,影像检查显示:鞍结节一异常信号影,大小约1.0cm×1.5cm×1.9cm,邻近脑膜显示脑膜尾征,双侧视神经鞘膜受累,以左侧为著,因左侧视神经颅内段受压变细,视交叉轻度受压。

视力、视野障碍是鞍结节脑膜瘤最常见症状。几乎所有病人都有视力、视野的改变,80%以上的病人为首发症状。视力障碍多为缓慢、进行性减退,早期一侧视力减退伴颞侧视野缺损,随后对侧视神经和视交叉受压,表现为双眼视力下降或双侧视野缺损,最后可导致失明。病人常首诊于眼科。此外,由于视神经、视交叉受压,眼底常出现视盘原发性萎缩,可高达80%。晚期由于颅内压增高,也可同时发生继发性眼底水肿。
手术切除是治疗鞍结节脑膜瘤最有效的治疗方法,直径小于3cm小型肿瘤较易全切除,可获得治愈的良好效果。左女士及家属同意手术方案。手术中,分离前纵裂蛛网膜及部分导静脉,在蝶骨区可见灰白色肿瘤组织,肿瘤起源于鞍膈,质一般,血供比较丰富,手术主刀鲁明副院长在显微镜下将肿瘤分块切除,双侧视神经与颅内动脉保护良好,垂体体柄位于后部,肿瘤全切,创面止血,术中出血量少,术程顺利。

经过一周左右时间的恢复,左女士感觉自己的两只眼睛视力已经正常,她和病室的病友说笑道:我就说嘛,还这么年轻,没道理眼睛不行了啊。

