看似老年痴呆 实则颅内肿瘤
发布时间: 2019年11月22日 出处:神经外五科 作者:王露亚 编辑:XL 点击次数:9743
70岁的李阿姨二周前突然出现头痛、间断头晕、记忆力减退,家人都以为一个七旬老人,大概是有老年痴呆了。
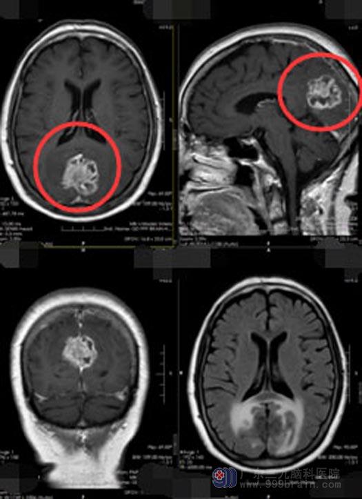
老人的女儿觉得还是慎重一些的好,去医院检查一下,也好落个放心。当地医院医生建议头部MR检查,结果提示:枕部两侧镰旁占位,考虑脑膜瘤,医生告诉女儿:老人家年纪大,又有高血压、糖尿病,手术治疗风险很高,最好是去上级的专科医院再看看。
李阿姨的女儿有些发蒙了,明明像是老年痴呆,怎么就成了脑肿瘤?后来她自己查阅了疾病的相关资料,才知道脑膜瘤是一种常见的颅内肿瘤,但在老年人的症状表现上与年轻人有很大的不同,这是因为随着年龄的增加,老年人感官退化,痛阈增高,加之脑萎缩使得颅内代偿容积增大,使得原本增长缓慢的脑膜瘤在相当长的时间内临床症状常常并不明显,主要表现为一些缓慢的智能改变,记忆力减退,很可能被误诊断为老年性退化疾病;随着年龄增长,机体各项功能退化,手术风险也随之增大,但是在手术设备先进、手术医师经验丰富的医院是能够保障手术成功施行。再经过更加深入的了解,李阿姨的女儿觉得广东三九脑科医院的神经外五科可以值得信任。
入院后,李阿姨的女儿始终抱着积极的心态,主动和主管医生进行沟通:妈妈身体一向很好,心态也乐观,我们决定争取一下。进一步头颅MR检查提示:1、大脑镰后部占位性病变,脑膜瘤可能,2、脑白质少许变性灶,3、幕上轻度脑皮质萎缩,4、部分空泡蝶鞍,5、右侧筛窦少许炎症、左侧上颌窦粘膜下囊肿;头颅+颈部CTA检查示:双侧顶枕部跨大脑镰占位性病变内存在多发小血管,考虑为脑膜瘤,病变包绕直窦,后缘紧贴上矢状窦。

控制好李阿姨的血压和血糖后,鲁明主任带领神经外五科的手术团队在全麻下为李阿姨行“双侧枕叶大脑镰窦旁脑膜瘤切除+矢状窦修补术”,术中可见肿瘤质韧,血运丰富,与脑组织边界不清,有部分粘连,肿瘤内邻矢状窦、大脑镰,基底位于大脑镰向两侧生长,侵及上矢状窦颌下矢状窦;分块切除肿瘤,肿瘤大小约5.5cm×5.0cm×5.0cm。
术后第三天,李阿姨的生命体征平稳,对答切题,四肢自主活动,复查头颅CT提示肿瘤全切,未出现明显的脑水肿。病理结果示:非典型脑膜瘤,WHOⅡ级。

李阿姨非常满意手术效果,手术后记忆力明显好转,对自己能够战胜疾病充满了信心。

