40年“颈椎病”久治不愈 竟是颅内藏了肿瘤
发布时间: 2019年12月26日 出处:神经外五科 作者:朱春花 编辑:XL 点击次数:4342
65岁的关阿姨一直反复头痛,偶尔伴有左侧肢体无力、麻木,按“颈椎病”治疗了40多年,直到最近,她才知道,原来是自己脑袋里长了瘤子。
据关阿姨回忆,40多年来她一直按照颈椎病进行治疗,不管是多方就医还是药物内服外贴,都收效甚微,为了减轻无法忍受的头痛,她多次服用止痛片,头痛也只是稍微缓解。
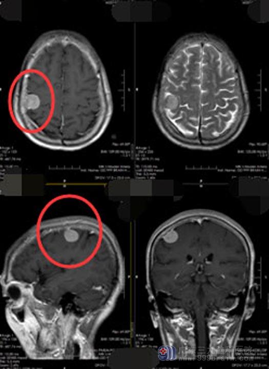
直到今年11月23日,她在当地医院进行头颅CT检查,才发现 “右侧额顶叶占位,考虑脑膜瘤可能性大”,这让关阿姨一家人大吃一惊,这头痛了40多年的原因竟然是因为脑袋里长了肿瘤。

广东三九脑科医院副院长、神经外五科主任鲁明告诉关阿姨,脑膜瘤多为良性肿瘤,一般生长较为缓慢,在早期不仅不会让患者发现,还常常会 “迷惑”大家,其中就有很多人把脑肿瘤的症状当成了颈椎病。误以为是颈椎病的脑瘤病人,还经常自行使用药物或者是颈颈椎牵引、中医按摩等等治疗。脑膜瘤发现后,及时进行手术切除,一般都可以治愈。
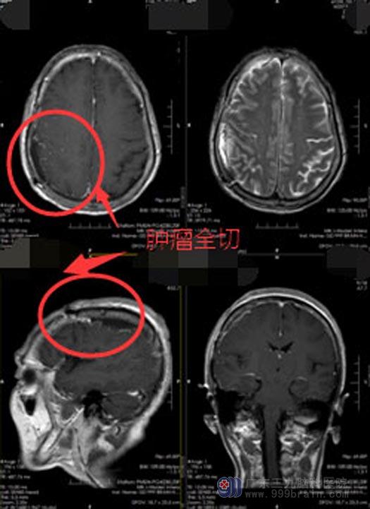
12月4日,神经外五科手术团队为关阿姨实施了“右顶部脑膜瘤切除术”,手术利用显微镜仔细分离肿瘤与软脑膜,完整切除肿瘤,并去除部分受到肿瘤侵犯的硬脑膜,手术过程非常顺利。

术后,关阿姨头痛症状已大大缓解,肢体活动有力,未出现术后并发症。

