以为感冒头痛,却是巨大脑瘤
发布时间: 2020年03月19日 出处:神经外五科 作者:廖启宇 编辑:XL 点击次数:7155
头痛是十分常见的症状,感冒、高血压、休息不好、情绪激动及血管神经性因素等都可能引起头痛。49岁的林阿姨1个月出现了头痛,伴恶心呕吐,她一直以为就是感冒引起来的,未引起重视,没有去医院进行检查和治疗。
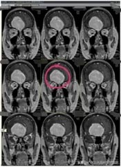
近段时间来,林阿姨头痛越来越重,偶尔还会出现小便失禁,林阿姨这才有所警觉。在医院头颅CT检查,显示:前颅底巨大占位,考虑脑膜瘤可能性大。林阿姨吓坏了,半辈子都平平安安,想不到脑子里居然有这么大的一个肿瘤。
孩子们也非常担忧,通过四处打听,林阿姨来到了广东三九脑科医院。进一步影像检查也提示是:前颅窝底巨大占位性病变,考虑脑膜瘤可能性大。



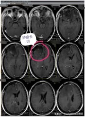
肿瘤体积巨大,占位明显,医院副院长、神经外五科主任鲁明和团队一起经过讨论,快速制定了安全且风险较小的手术方案,术中需要避开重要血管,尽最大可能全切除肿瘤。术前进行全脑血管造影,影像显示:前颅底异常染色,呈类圆形,肿瘤主要是由右侧脑膜中动脉前支、右侧眼动脉分支参与供血;决定先行肿瘤栓塞术,术后加压包扎送病人至手术室,行“前颅底巨大脑膜瘤切除术”。肿瘤周围血管丰富,已侵犯重要神经;导航准确定位,显微镜下见肿瘤起源于大脑镰及前颅底,阻断肿瘤血供后,先钨刀切除左侧额部部分肿瘤,再超吸切进行瘤内减压,最终镜下将肿瘤切除干净。



术后第二天,林阿姨便返回普通病房,神志清楚,无功能障碍,术前担心的并发症都没有发生。在医生护士及家人的精心照顾下,半个月后,林阿姨就步行出院了。


