顽固的脑膜瘤
发布时间: 2020年03月30日 出处:神经外五科 编辑:XL 点击次数:7796
海南的钟女士在2008年的时候发现有脑肿瘤,当地医院给予手术治疗,术后诊断是良性脑膜瘤。
2013年肿瘤复发,在广州某医院行肿瘤切除术。
2017年复查时发现,肿瘤再次复发,手术切除后行伽马刀治疗。
2019年12月,钟女士开始出现左侧肢体乏力,并逐渐加重;3个月后已不能行走,双眼接近失明,当地医院复查,考虑肿瘤又复发了。
“脑膜瘤不是良性的嘛,为什么三次手术切除,也做了伽马刀治疗,最终还是复发了?”钟女士的老公带着疑惑找到了广东三九脑科医院副院长、神经外五科主任鲁明。
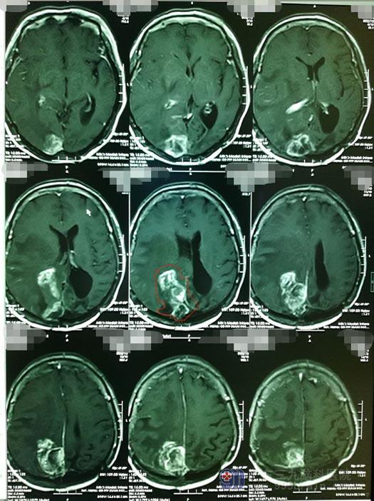
脑部影像检查提示:右侧枕顶部镰旁占位性病变,大小约43mm×33mm×52mm,病灶与右侧侧脑室内脉络丛关系密切,灶周水肿波及右侧额颞枕顶叶、右侧基底节区及胼胝体压部。

“从影像上看,肿瘤非常大,而且具备了恶性肿瘤的生长习性,部分肿瘤已经长入到上矢状窦内,整个右侧大脑半球水肿非常厉害,患者已经接近失明、偏瘫,如果再不把这个肿瘤拿下,对患者而言,她可能没有下一次手术的机会了。此次手术中需要处理好肿瘤与上矢状窦、脑膜及各种血管间的关系,才能尽可能的避免肿瘤复发再生长。现在,手术是唯一的选择。”鲁明了解病史及查看影像资料后坦诚地告诉钟女士的老公。
鲁明说:脑膜瘤复发,其中有个重要的原因,是肿瘤生长的部位和它对周围神经血管影响的程度。如果肿瘤已经侵蚀了大的血管,黏连非常的紧密,手术中不能完全地剥离下来,那么就有可能残存肿瘤细胞,手术后就有可能复发;还有一种情况,就是颅底的脑膜瘤,颅底有很多褶皱,这些褶皱里面都是一些血管神经,由于肿瘤的基底,就是受侵的脑膜,有时候拿不干净,所以手术后复发几率远高于凸面的脑膜瘤。
详细讲解后,钟女士和家人都决定再次手术。由鲁明主刀,术中发现肿瘤的复杂程度超过了术前的想象,经过神经外五科手术团队的共同努力,肿瘤得以顺利全切。

术后,钟女士的肢体活动得到了恢复,可以自行行走,双眼视力、视野也得到了明显的改善,已经可以看到门外的东西了。她老公告诉医生:妻子感觉这次手术比之前的3次都轻松很多,没有太多的难受,恢复得也非常快。


