此头痛非彼原因
发布时间: 2020年04月13日 出处:神经外五科 编辑:XL 点击次数:7349
50岁的黄大姐经常会出现隐隐的头痛,休息后可以缓解。每次头痛,她都会想起自己10年前被邻居用玻璃杯砸到过脑袋,一直认为这就是后遗症。
一个月前,黄大姐出现了四肢抽搐,直到失去了意识,家人才把她送到附近医院。脑部检查后才知道脑袋里是长了个肿瘤。
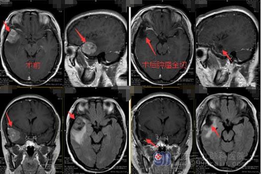
初步诊断“右侧颞叶占位”,入住广东三九脑科医院神经外五科。头颅MR提示:1.右侧颞部脑膜瘤可能, 2.脑白质少许变性灶;头颅CTA显示:右侧颞部占位病变,其内可见细小血管影,边缘细小血管参与供血,考虑血供丰富,脑膜瘤可能。
右侧颞部脑膜瘤属于非重要功能区,通常不会引起患者出现明显的症状,与脑组织黏连紧密时,可以引起患者反复的癫痫发作。手术治疗是首要的选择,治疗效果也是非常理想的。
黄大姐及家人同意手术治疗。术中可见肿瘤侵犯右侧颞骨及硬脑膜,剪开硬脑膜后见灰白色肿瘤,质韧,分界清楚,位于侧裂血管颞侧,侵犯蛛网膜后破入颞叶组织,颞叶部分粘连;易于分离,血供一般,包膜不完整,起源于右侧颞部硬脑膜;分离与脑组织粘连的肿瘤,分块切除,创面止血,检查无活动性出血,脑组织搏动良好,手术过程顺利。

在神经外五科治疗团队的共同努力下肿瘤被顺利切除,术后黄大姐的生命体征平稳,意识清醒,四肢活动正常, 再过几天就可以出院回家了。


