颅内多发性脑膜瘤
发布时间: 2020年05月27日 出处:神经外五科 作者:郝玲 编辑:XL 点击次数:7602
54岁的高阿姨身体一直硬朗。半年前,她开始出现反复的头痛,以右侧前额部为主,偶尔伴有右枕部疼痛,发作时可以忍受,所以也没有当一回事。
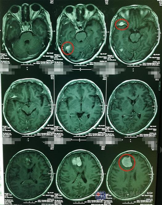
十多天前,高阿姨除了头痛,还出现了恶心呕吐,赶紧在当地医院做了头颅MRI检查,提示:右侧额部大脑镰旁、右侧颞下回旁、右侧小脑幕区多发脑膜瘤。听从了一位老乡的介绍,高阿姨来到广东三九脑科医院神经外五科,诊断“颅内多发占位”。

医院副院长、神经外五科主任查阅了患者的相关资料后认为,高阿姨的颅内占位很大可能是脑膜瘤。多发性脑膜瘤多属良性肿瘤,以大脑镰旁与矢状窦旁较为常见。一旦发现脑膜瘤,临床首选手术治疗,显微外科手术是多发性脑膜瘤最直接而有效的治疗方法,手术切除时应综合考虑年龄、临床症状、肿瘤的大小、分布部位等因素。首先切除引起临床症状的肿瘤,通常也是体积较大者;相邻部位能一并切除的也尽可能地切除,先大后小,先幕上后幕下,先表浅后深在。
由于之前高阿姨一家人已经就诊过多家医院,他们明白这个手术的必要性和手术难度,高阿姨丈夫坚定地告诉医生:“我们就是来做手术的,对你们的医疗技术非常有信心。”
完善术前准备后,鲁明带领神经外五科治疗团队在全麻下行“右侧额部大脑镰旁、颞部多发脑膜瘤切除术”肿瘤位于大脑镰旁,大脑镰旁脑膜瘤起始于大脑镰,常埋入脑实质内并可向大脑镰两侧生长,肿瘤大多埋藏在大脑半球纵裂中,位置较深,所以暴露肿瘤位置成术中的难点;从周边逐步分离肿瘤,显微镜下予以分块全切除。手术顺利,重要神经及血管均没有损伤。

高阿姨麻醉苏醒后,即神志清楚、对答正确。在家人的悉心照料下,她恢复很快,不久就出院了。


