听神经瘤合并脑膜瘤
发布时间: 2020年06月29日 出处:神经外五科 作者:李彩银 编辑:XL 点击次数:8743
36岁的赵女士不是第一次在广东三九脑科医院神经外五科住院治疗,也不是第一次做手术了。
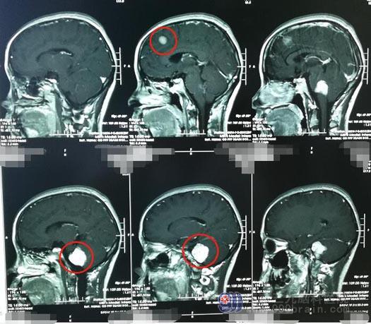
去年10月份,赵女士因为头晕伴右侧耳鸣在神经外五科治疗,头颅MR检查显示:1.右侧桥小脑角区占位性病变,考虑听神经鞘瘤可能;2.左侧额部镰旁占位性病变,考虑脑膜瘤。

主管医生告诉赵女士:颅内同时长了两个肿瘤,并且之间的距离比较远,两个肿瘤一次手术风险太大,考虑分两次进行,先将颅内下方的听神经瘤切除,待患者的身体恢复后,再切除颅内上方的脑膜瘤。这类手术在脑科医院比较常见,正常情况下,手术都能安全有效地完成。经过医生的讲解,赵女士的心里踏实多了。
2019年10月份,医院副院长、神经外五科主任鲁明带领团队为赵女士施行了“右侧桥小脑角区听神经鞘瘤切除术”。术后,赵女士没有任何并发症出现,很快便康复出院。
今年5月份,赵女士再次来到神经外五科。她说第一次手术非常成功,所以对第二次的手术充满了信心。鲁明说,这次手术虽然比第一次相对简单一些,可毕竟几个月前才刚刚经历一次复杂的开颅手术,身体状况不比正常人,手术仍有一定的风险;但也不能再等待太久时间,肿瘤也会越来越大的。完善相关术前准备后,赵女士进行了第二次手术,手术很顺利。术后,赵女士四肢活动正常,身体状况也一天比一天好了。



