老人常“耳背”,家人需警觉
发布时间: 2020年07月14日 出处:神经外五科 作者:郭学伦 编辑:XL 点击次数:6394
很多人认为,随着年纪的增大,老年人听力下降是正常的衰老现象,不值得大惊小怪,所以老人“耳背”经常会被忽略。广东三九脑科医院副院长、神经外五科主任鲁明提醒,并不是所有的耳背、耳聋都是正常现象,老人耳背应警惕脑肿瘤的发生。
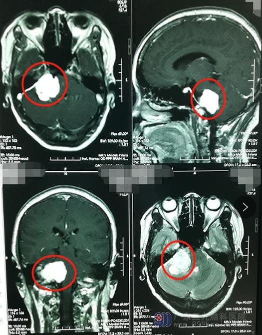
年过半百的李阿姨,5年前就开始右耳不好使,她自己和家人都理所当然地认为:人老了,耳背很常见。直到一个月前,李阿姨开始头痛,痛得浑身出冷汗,才和家人来到广东三级脑科医院检查;脑部影像检查发现颅内有一3cm×4cm×4cm大小的肿瘤,诊断为:右侧桥小脑角占位,考虑脑膜瘤, 入住神经外五科。

桥小脑角区的肿瘤容易压迫、粘黏到听神经,患者常常出现听力下降,耳鸣等症状,“耳背”得不到老年患者的警觉,导致疾病被延误。桥小脑角区肿瘤很容易在早期被忽略、误诊,直到肿瘤逐渐增大,出现头痛、呕吐等症状的时候,才引起患者及家人的重视,
李阿姨的脑肿瘤已经累及右侧内听道,并包绕着具有重要供血作用的右侧椎动脉,同时脑干、右侧小脑半球已经受到压迫,第四脑室受压变窄;如果肿瘤继续生长,还会进一步压迫、粘黏甚至损伤三叉神经、面神经、脑干、小脑、后组颅神经等,患者可能会出现继发性三叉神经痛、面瘫、小脑共济失调、走路不稳、吞咽困难、饮食呛咳等症状,造成脑脊液循环障碍,可以产生脑积水,严重的头痛、呕吐、视乳头水肿等,甚至可以出现意识障碍,危及生命。
手术治疗,无疑是李阿姨目前的最佳选择。
充分地术前准备后,李阿姨接受了“右侧桥小脑角区脑膜瘤切除术”,鲁明带领手术团队经过10个小时的努力,在显微镜下将乒乓球大小的肿瘤完整切除,手术过程顺利。

术后,李阿姨兴奋地告诉周围的人:“能听见了,终于能听见了!”


