微创治疗前颅窝底肿瘤
发布时间: 2020年12月28日 出处:神经外五科 作者:郭舒舒 编辑:XL 点击次数:7236
65岁的周阿姨,最近感觉有阵发性的头痛,以为是天气转冷感冒造成的,服了感冒药后症状好转。
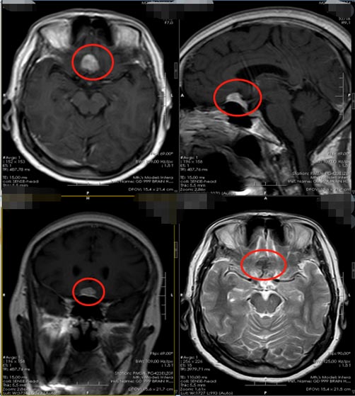
但一个多月来,头痛老是反反复复,家人觉得蹊跷:感冒也不至于这么长时间啊?当地医院就诊,头颅核磁共振检查还真发现了问题:“前颅窝底占位性病变,考虑脑膜瘤可能”。

颅底脑膜瘤需要手术治疗,手术切除是唯一能够将脑膜瘤完全去除的方法。颅底脑膜瘤手术难度比较高,因为肿瘤的位置比较深,并且与周围神经和血管可以出现粘连;手术原则是在保全重要的神经血管和脑组织的前提下,全切除肿瘤;因此根据肿瘤的大小、位置以及蔓延的方向,选用最佳的手术入路,同时结合现代颅底显微手术技术,切除肿瘤、减少脑组织损伤是提高手术疗效的关键。
医院副院长、神经外五科主任鲁明在充分了解患者的病情后,决定选择微创:经右侧眉弓入路行前颅窝底脑膜瘤切除术。微创手术是利用锁孔一样大小的骨窗来代替过去大切口、大骨窗,进行颅内的病变切除,具有对患者心理影响小、开关颅时间短、对脑组织牵拉小、减少了无效开颅等优势,以更小的切口、更少的出血、更少的神经功能损伤、更快的术后恢复,使患者获得最大的收益。
术中导航定位肿瘤后,于右侧眉弓中外2/3横切口,长约5cm,见肿瘤包裹双侧前动脉,大约2cm×2×cm1.5cm,予以仔细剥离,保护神经,肿瘤被分块完全切除。术后恢复顺利,第二天周阿姨即可下床活动,第四天办理了出院。病理诊断:脑膜瘤。



