栓塞和手术联合治疗颅内脑膜瘤
发布时间: 2021年01月06日 出处:神经外五科 作者:韩奇 编辑:XL 点击次数:6658
41岁的杨女士,三年前开始出现经常性的头痛,休息后能缓解,以为是工作压力大、没有休息好引起的,一直没有当回事。
一周前,杨女士在头痛的同时还出现了双侧视物模糊、左侧眼睑也闭合不全;当地医院脑部磁共振检查显示:左侧脑室三角区占位,考虑脑膜瘤。随后家人带着杨女士到多家医院包括北京的天坛医院就诊过,最后选择了在广东三九脑科医院神经外五科进行治疗。
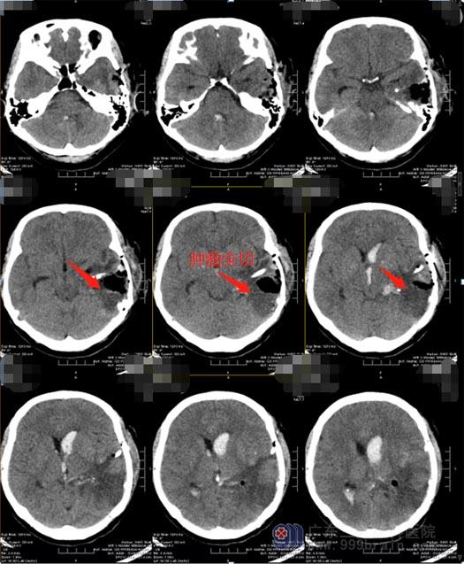
进一步检查发现:杨女士的肿瘤已经压迫导水管,引起了严重的脑积水,病情严重,需要及时进行手术治疗。

医院副院长、神经外五科主任鲁明带领团队对病例进行了详细的讨论:此脑膜瘤血液供应极为丰富,手术治疗出血量大,对术野影响也较大,甚至会因为止血难度大而无法对肿瘤进行完全切除、肿瘤切除后的瘤腔出现不同程度的并发症。最终选择了对患者脑部损伤最小的治疗方案:先行DSA栓塞,由于介入和栓塞治疗的不断发展,手术前根据血管造影结果了解血液供应情况,并进行血管栓塞,可以保证手术治疗的安全性;肿瘤周围主要的血管栓塞后,能大大降低手术中出血的可能,还可以将肿瘤最大范围地切除,更好的保护正常脑组织。
家属也非常赞同该手术方案。12月29日,杨女士先行DSA栓塞,术中可以清晰地看到左侧脑室内异常的染色,呈类圆形,考虑肿瘤占位病变,大小约4cm×4.5cm×4cm,主要由左侧脉络膜后内、左侧脉络膜前动脉末端分支参与供血,将左侧脉络膜后内动脉远端分支血管栓塞,效果明显,肿瘤供血消失,因左侧脉络膜前动脉末端分支血管比较细,微导管到位困难,没有进行栓塞。随后送杨女士至手术室在全麻下行“左侧脑室内占位性病变切除术”。全部手术过程非常的顺利。术后杨女士即清醒,四肢活动无异常。



