严重侵犯颈内动脉的大型蝶骨嵴脑膜瘤
发布时间: 2021年01月25日 出处:神经外五科 作者:王露亚 编辑:XL 点击次数:5439
2年前,柯女士出现夜间突然肢体抽搐,几分钟后可自行缓解,由于日常生活不受什么影响,当时就没有重视。
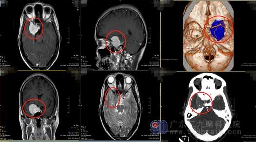
随后的时间里,柯女士出现肢体抽搐十几次,伴随着右眼视力逐渐下降,在当地医院检查,头颅MR提示:右侧鞍旁稍高密度占位性病变内血管丰富,考虑脑膜瘤,病变包绕右侧颈内动脉虹吸段,右侧大脑中动脉受推挤向内上方偏移。入住广东三九脑科医院神经外五科后,进一步检查发现患者的右侧眼球无法充分向上、向外活动,肿瘤已经侵袭大血管及海绵窦,病变血供丰富且包绕颈内动脉。

蝶骨嵴脑膜瘤由于位置比较特殊,肿瘤和血管神经粘连紧密,不仅病变切除难度大,同时手术出血风险也极大。需要完善全面的术前评估进行保障,极为专业的手术团队进行配合,有相当丰富手术经验的医生才可进行手术。如果没有做到全切除,肿瘤易复发,可能需要再次手术;术中若损伤瘤体周围神经血管,则可能导致患者残疾,甚至危及生命。随着肿瘤的生长,蝶骨嵴脑膜瘤会逐渐压迫神经和动脉,手术难度也会进一步提高。
医院副院长、神经外五科主任鲁明带领治疗团队为柯女士先进行了脑血管造影+Allen试验+Bot试验,预先了解肿瘤及颅内血供情况,排除了手术禁忌症,为患者实施了“右侧鞍旁-蝶骨嵴脑膜瘤切除术+右侧颞浅动脉-右侧大脑中动脉血管搭桥术”,术中发现颈内动脉被肿瘤严重侵犯,对颈内动脉进行了破口夹闭。手术顺利。柯女士术后恢复得很好,四肢活动正常,很快就办理了出院,一家人都非常满意手术效果。术后病理结果提示:过渡型脑膜瘤(WHO1级)。复查头颅MR提示原病灶已切除。



