被老花眼掩盖的真相
发布时间: 2021年02月01日 出处:神经外五科 作者:付晓珊 编辑:XL 点击次数:5345
63岁的杨阿姨,在3年前发现右眼视力比左眼差,她认为自己已是花甲之年,眼睛有点花也不足为奇,买一副老花镜就可以了。
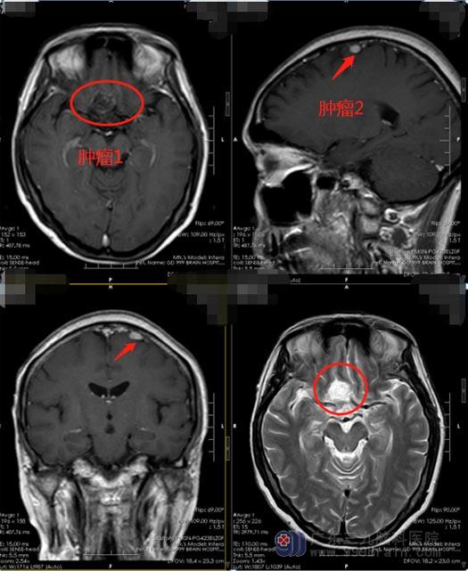
2周前,杨阿姨在当地医院体检,头部影像检查提示右侧额叶底部结节,考虑脑膜瘤或血管瘤,阿姨及家人一下子紧张起来。在广东三九脑科医院进一步头颅核磁共振检查发现:1.前颅窝底占位,考虑脑膜瘤;2.左侧额部占位,考虑小脑膜瘤。

医院副院长、神经外五科主任鲁明考虑到,周阿姨颅内有不同部位的两个肿瘤,并且挤压视神经及右侧大脑前动脉,和血管关系也很密切;手术切除是最有效的治疗方法,因肿瘤与视路、垂体、下丘脑、海绵窦、颈内动脉及其分支关系紧密,手术全切除难度较大。家属了解手术风险后,经过充分考虑,同意手术治疗。鲁明带领手术团队从右侧翼点入路行右侧额底鞍旁脑膜瘤切除,再定位左侧额部,将左侧额部的脑膜瘤一并完整切除。手术非常成功,杨阿姨术后恢复很好,未出现术后并发症。

鲁明提醒:视力、视野障碍是鞍结节脑膜瘤最常见症状,几乎所有病人都有视力、视野的改变,80%以上的患者为首发症状。视力障碍多为缓慢、进行性减退,可持续数月或数年,双侧视力或视野的改变往往不对称,不规则,甚至极少数病人一侧已经失明而另一侧尚属正常。所以当出现难以用眼科知识解释的视力、视野变化时,千万别忘了查查颅内情况,这些因颅内病变导致的视力、视野变化如能在早期及时手术治疗,一般都可获得满意效果。


