眼睛看不见
发布时间: 2021年02月07日 出处:神经外五科 作者:卢燕荔 编辑:XL 点击次数:5427
3个月前,吴阿姨开始出现左眼视力逐渐下降。一开始,她不以为然,觉得人到中年了,有些眼花很正常。近段时间来,吴阿姨的左眼视力下降得越来越明显,只能看到微弱的光。
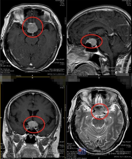
吴阿姨觉得问题有些严重了。当地医院头颅CT检查提示“鞍区一鞍上占位性病变,考虑脑膜瘤”,吴阿姨女儿在网上搜索肿瘤的相关介绍后就更加的恐惧,脑海里一直滚动着这些词:开颅、脑出血、脑积水、脑脊液漏、偏瘫、失明……。一家人忐忑不安地来到广东三九脑科医院,进一步影像检查确诊为“鞍结节脑膜瘤”。

医院副院长、神经外五科主任鲁明向吴阿姨的女儿普及了疾病的相关知识,鞍结节脑膜瘤也称为鞍上脑膜瘤,大约占所有脑膜瘤的3–10%,包括起源于鞍结节、前床突、鞍隔和蝶骨平台的脑膜瘤,肿瘤膨胀生长后可以把垂体柄和垂体推压向后下方,挤压前上方的视神经和视交叉,所以绝大多数鞍结节脑膜瘤的主诉症状为进行性视力下降。最开始的症状主要是视力、视野出现障碍,病程相对是比较缓慢的,双侧的视野和视力的改变往往是不对称,而且有可能会伴有一侧或两侧嗅觉消失,出现嗜睡、焦虑、记忆力减退等精神症状。
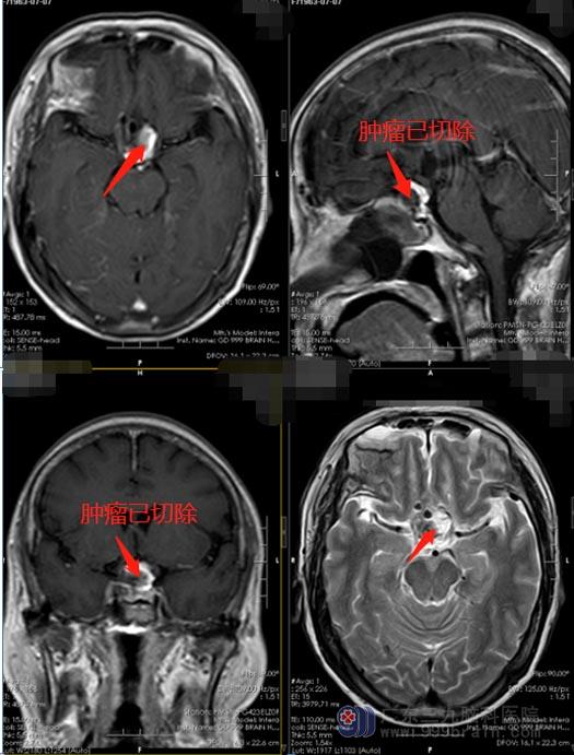
鞍结节脑膜瘤的一线治疗是完全切除肿瘤,使患者视力正常化,避免手术并发症。在过去的十年中,这些结果是通过使用开颅手术来实现的。最近,通过鼻窦腔的前侧入路越来越多地运用于手术,也可以达到同样的目的。与开颅手术相比,经鼻内镜手术对于鞍隔部分硬脑膜的处理更彻底,术中不牵拉视神经,对穿通支的保护也优于开颅,绝大多数鞍结节脑膜瘤不涉及到垂体柄和下丘脑,被认为是一种相对于开颅术更小创伤的替代方法。
了解这些以后,特别是看到同病房经鼻子手术过的病友恢复得都挺快,吴阿姨一家人轻松了许多。1月21日,鲁明带领团队为患者行“内镜扩大经鼻蝶鞍结节脑膜瘤切除术”,术后当天,吴阿姨就清醒,第二天就惊喜地发现左眼视力恢复了很多,可以看清楚眼前的东西。重获了光明,没有出现那些胆战心惊的并发症,最开心的除了吴阿姨,还有她的女儿。



