何须“谈瘤色变”
发布时间: 2021年02月22日 出处:神经外五科 作者:廖启宇 编辑:XL 点击次数:6157
刘阿姨在8个月前出现头痛,为发作性右侧顶部刺痛,由于每次疼痛的持续时间不长,所以没有当回事。阿姨的女儿在广州工作,看到母亲的身体有不适,觉得还是检查一下放心些。
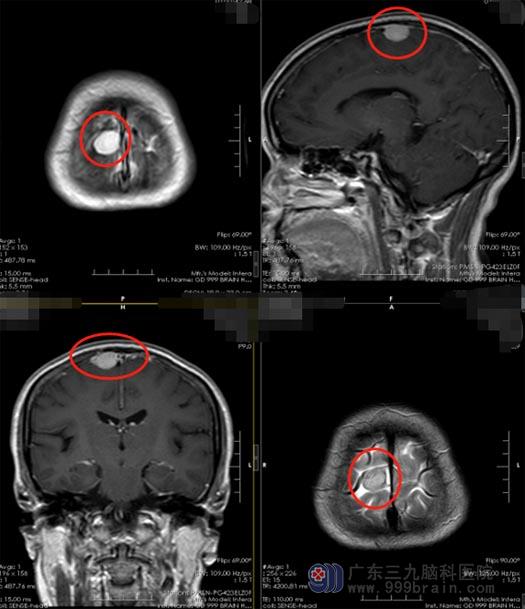
来到广东三九脑科医院,刘阿姨的颅脑影像检查提示“右侧顶部矢状窦旁小脑膜瘤”。知道了检查结果,刘阿姨和女儿都如临大敌,大脑是人的精神、语言、感情和行为的指挥中枢,这里面发现了肿瘤简直比癌症还可怕。
其实,很多肿瘤只要早发现早治疗,预后是乐观的。随着当代神经外科技术的不断发展,手术的精细程度大大提高,不仅使肿瘤切除得更为彻底,同时也最大程度地保留主要的神经和血管,减少对正常脑组织的损伤,手术的治疗效果已经有了非常大的提高。尤其是脑膜瘤,大多属于良性,进展缓慢、也极少发生转移,良性脑膜瘤如果能够做到全部切除,其治疗效果极佳,大多数患者可以得到治愈。
矢状窦旁脑膜瘤是起源于矢状窦附近的脑膜瘤,此部位的脑膜瘤手术难度相对大一些。由于脑膜瘤可能和矢状窦形成粘连,甚至侵犯矢状窦侧壁,手术中有可能会发生矢状窦破裂引起大出血,危及生命。并且肿瘤与矢状窦壁形成粘连包裹,手术中可能难以对肿瘤进行全切除,手术后肿瘤会复发,需要再次手术,或者行放射治疗来延缓肿瘤的复发速度。
了解病情后,刘阿姨和女儿虽然是既宽心又担心,但她们还是积极地同意手术治疗。医院副院长、神经外五科主任鲁明带领手术团队在全麻下为阿姨施行“右顶部镰窦旁脑膜瘤切除术”,术中顺利将肿瘤全切除,术后恢复良好,没有出现手术并发症。
看着病情渐渐稳定、很快就能康复出院,刘阿姨紧张的心终于放了下来。

▲手术前

▲手术后


