症状在眼 病根在脑
发布时间: 2022年03月04日 出处:神经外五科 作者:王娇 编辑:XL 点击次数:4137
祁阿姨今年65岁,1个月前开始出现双眼视力下降,当时她并不在意,以为是年纪大了眼睛老花了。可是慢慢的她发现看东西的范围也开始逐渐变窄,且左眼伴有流泪感,伴有间断头痛,祁阿姨以为是自己的眼睛出了问题,就去眼科医院检查,可眼科医生看了后却建议她去检查一下颅内的情况,满怀疑惑祁阿姨还是听从了医生的建议做了个头颅MR检查。不查不知道,一查吓一跳:右侧枕部占位性病变、考虑肿瘤性病变。

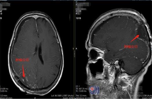
家人找到了广东三九脑科医院鲁明副院长。完善相关检查后,鲁明及神经外五科主任王国良带领治疗团队进行仔细的病历讨论,入院第三天即在全麻下行右侧枕部脑膜瘤切除术,术中镜下全切肿瘤,血管保护完好,手术顺利结束。
术后第二天,祁阿姨视力较前明显改善,术后复查头颅MR结果显示:原右侧枕部脑膜瘤已全切,未见明显残留;术后病理结果显示:纤维型脑膜瘤(WHO 1级)。术后双眼视力恢复良好,第六天办理出院。祁阿姨说之前怎么也没想到脑袋有问题也能影响到眼睛。

纤维型脑膜瘤是脑膜瘤的常见亚型,属于较少机会复发和侵袭的脑膜瘤,WHO分级Ⅰ级,纤维性脑膜瘤虽然是良性肿瘤,但是也不可轻视,脑膜瘤的大小、生长位置都会对周围神经造成侵犯,如果压迫较重对周围血管神经会造成不可逆的损害,就算是良性脑膜瘤也无法全切,手术后复发的可能也比较大,所以一定要早发现、早治疗。



