年轻,亦应警惕脑部疾病
发布时间: 2022年03月07日 出处:神经外五科 作者:李彩银 编辑:XL 点击次数:3776
脑膜瘤是一种良性肿瘤,生长慢,病程长。因肿瘤生长缓慢,所以肿瘤往往长得很大,而临床症状还不严重。直到患者出现视力、视野、嗅觉或听觉障碍及肢体运动障碍等症状时才逐渐引起重视,才到医院检查就医。
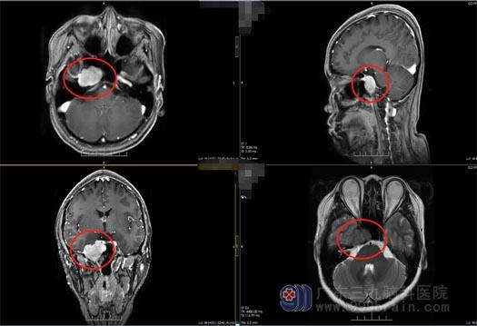
小方,三周前开始出现双眼重影,刚开始觉得只是眼部问题,并不太过在意,而且自己还年轻,才29岁,不会有太大问题。在之后的两个星期里双眼重影的问题不但没有减轻,而且出现了头部疼痛症状,这才想起来到医院去检查,头颅MR结果提示:右侧鞍旁占位。

“脑袋里怎么就突然长东西了?”小方百思不得其解。
找到广东三九脑科医院副院长鲁明后,经我院专业检查,初步诊断为脑膜瘤,该部位的脑膜瘤以眼的症状为主。考虑患者年轻,既要切除病灶,同时也要保护好神经功能,如何以最小的创伤解决患者的问题,鲁明带领神经外五科王国良主任团队进行了讨论。
最后一致决定采用“内镜辅助下经鼻行右侧鞍旁海绵窦内占位性病变切除术”,不用开颅,从鼻孔进入。内镜下见肿瘤呈灰白色,质软,全切肿瘤,手术顺利结束。术后,小方视物重影消失,未出现术后并发症,一周后满意出院。

患者年仅29岁,正值壮年,身体各项条件应处于顶峰状态,我们呼吁:年轻人应珍爱自己身体,适时锻炼,出现症状时及时就医。



