突然老花眼 揪出脑膜瘤
发布时间: 2022年03月21日 出处:神经外五科 编辑:XL 点击次数:3869
家住广州市白云区的李阿姨头痛伴右眼视物模糊1个多月,行走不稳,她想着自己已经是66岁的人了,有个老花眼、走不稳路也挺正常。
直到头痛症状加重,忍受不了的李阿姨把病情告诉了女儿,女儿连忙把她带到医院做检查,头颅MRI提示:前额部大脑镰旁异常信号,考虑肿瘤病变可能,脑膜瘤未排。“医生跟我们说妈妈脑袋里面长了肿瘤,还要做开颅手术,我们都很害怕,更加担心手术后恢复不好。”李阿姨的女儿说到。
经过全家人的多方打听,得知广东三九脑科医院神经外五科治疗团队是具有丰富治疗经验的脑科团队,女儿急忙带上李阿姨来到了广东三九脑科医院。头颅 MRI 显示额部跨大脑镰深部两侧占位性病变,考虑脑膜瘤可能性大;完善术前准备后,鲁明副院长、王国良主任带领神经外五科的医生团队在全麻下为李阿姨实施了“前额部大脑镰脑膜瘤切除术,术中肿瘤全部切除,手术顺利结束。

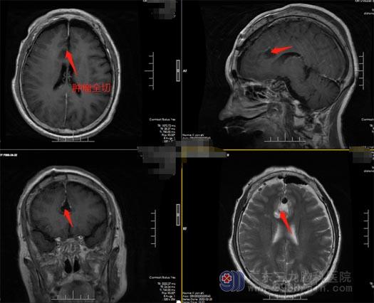
▲术前

▲术后
李阿姨家人非常满意手术效果,李阿姨在手术后也很快恢复了神志,手脚活动正常。“我以为我妈妈手术后至少要躺个三五天才能开口和我说上话,谁知道她的精神劲可足了,手术后2个小时就和我聊上了,看她的样子恨不得和我彻夜长谈呢!”。术后第3天,李阿姨已经下地行走,病房里总能时不时地听到李阿姨嚷嚷着要出院回家……



