止不住的头痛
发布时间: 2022年04月13日 出处:神经外五科 作者:李冬梅 编辑:XL 点击次数:1661
郭先生因偏头痛到当地医院就诊,经CT检查显示四脑室占位性病变,一开始郭先生并不想手术治疗,疼痛的时候就吃点止痛药。
最近三个月,郭先生头痛症状不断加重,不仅头痛药没效果了,而且还出现上肢末端麻木、胃口不好等症状。为进一步治疗,家人带着他来到广东三九脑科医院外五科,完善相关的检查后,初步考虑患者四脑室占位性病变,认为是脑膜瘤可能性比较大。由于病灶处于脑室中,阻碍了脑脊液的通路,必须通过手术治疗,否则会出现脑积水甚至脑疝的危险!
肿瘤起于四脑室底部、部分与脑干粘连,郭先生的主治医生贺小军指出手术治疗的难点在于:在切除肿瘤同时,不但要保护好脑干不受损,同时也要保护好双侧小脑后下动脉,分离肿瘤,不仅要有丰富的临床经验、娴熟的技术,还要非常有耐心和耐力,稍有不慎会出现出血、梗塞等手术意外。

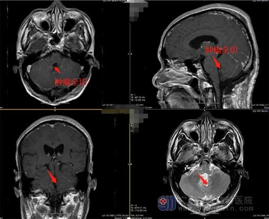
在排除手术相关禁忌症后,广东三九脑科医院鲁明副院长带领神经外五科团队为郭先生实施了四脑室占位病变切除术。幸运的是,郭先生手术肿瘤全切,神经、血管、脑组织均保护完好。术后郭先生神志清醒,因术中周围颅神经、血管保护良好,郭先生无不良并发症出现,恢复很快。

神经外五科王国良主任介绍,一旦第四脑室出现肿瘤,并开始生长,则第一个受到影响的是脑脊液循环;阻塞其通路后,会出现颅内高压症状,主要表现为头痛头晕,呕吐,胃口不好,肢体无力等。因此,患者需及时就医,并选择最佳的个体化治疗方案,在切除肿瘤的同时,尽量保留患者的神经功能。



