巨大脑瘤不用怕,专业团队来护航
发布时间: 2022年04月18日 出处:神经外五科 作者:卢燕荔 编辑:XL 点击次数:1618
“头上的伤口是王主任用美容线缝的,我老公说很漂亮呀,切出来的肿瘤有7公分大,我都不怕”,这话是出自一位“左侧额顶部镰窦旁脑膜瘤切除”术后第八天、正准备出院的黄阿姨口。
今年49岁的黄阿姨,一年前就出现了右侧腿脚不利索,时常觉得累了会拖步走,休息后可以缓解,也就没有重视。最近三个月来,黄阿姨反复出现头痛头晕,急忙去附近医院做了CT检查,结果却晴天霹雳:左额顶部巨大肿瘤。
一向只有小病小痛的黄阿姨吓坏了,自己居然得了肿瘤,还是巨大的。“不怕跟你们说,我当时真的是心如死灰,甚至连后事都要交代了。我老公的朋友跟我们介绍了脑专科医院,我们就过来了广州”。3月24日,黄阿姨住进了广东三九脑科医院神经外五科。
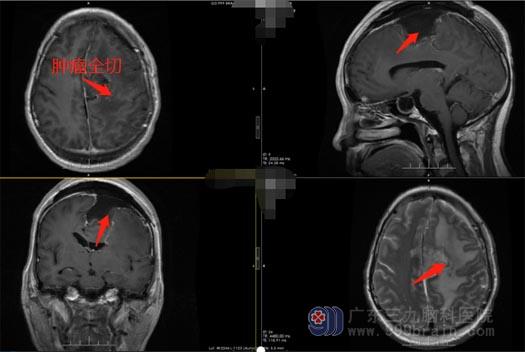
王国良主任迅速给患者办理了住院手续,主管医师顾有明立即安排了相关检查。头颅CTA检查显示:左侧额顶部廉旁巨大占位性病变,血供丰富,考虑脑膜瘤,双侧大脑前动脉受压、移位,上矢状窦前部明显受压、变窄,局部闭塞,待排胂瘤侵犯;头颅MR显示:左侧额顶部镰旁占位,侵犯左侧颅骨,考虑脑膜瘤可能性大。

经过缜密的术前讨论,由王国良主任主刀,带领神经外五科治疗团队为黄阿姨在全麻下施行左侧额顶部镰窦旁脑膜瘤切除术。术后,黄阿姨恢复顺利,手脚活动比术前大大好转,也没有头晕头痛,手术后第八天,黄阿姨顺利康复出院了。




