脑瘤误作颈椎病
发布时间: 2022年04月26日 出处:神经外五科 作者:莫冰梅 编辑:XL 点击次数:2145
57岁的周大叔是湖南人,10个月前因为出现右侧面部麻木,在当地诊所检查, 医生考虑颈椎病,予以口服药物治疗。周大叔一直严格遵照医嘱按时服药,然而日子一天过去,周大叔并没有感觉到症状有好转。持续近10个月后,周大叔的面部麻木症状反而愈发严重,家人劝周大叔去大一点的医院检查,这回真的发现了问题:头颅MR提示为“桥脑右侧前缘异常信号,考虑三叉神经瘤可能”。
周大叔开始焦急了,治疗了近一年,最后却发现误诊了,颈椎病变成了脑肿瘤!这次他谨慎一些了,经多方打听后,周大叔最终选择来到广东三九脑科医院,找到了鲁明副院长,鲁明初步考虑是“右侧岩斜区脑膜瘤”可能。入住神经外五科后,进一步头颅MR检查,提示为右侧岩斜区-鞍旁占位性病变,考虑脑膜瘤可能,待排神经鞘瘤。

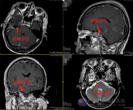
明确周大叔无明显手术禁忌症,由鲁明主刀,在全麻下行“右侧海绵窦脑膜瘤切除术”,手术全切肿瘤。术后周大叔恢复正常,无神经系统的损伤,已康复出院。

出院时,周大叔感慨,当初以为是小毛病,拖了近一年时间才得到根本治疗,自己从中也得到了教训:发觉身体出现异常、长久没有疗效的情况下,还是要到大医院进行必要的检查,免得出现误诊、漏诊,延误病情。



