女人早生孩子会早衰?
发布时间: 2011年12月08日 出处:综合神经外科 点击次数:20637
李小姐今年虽是25岁,却已是2个孩子的妈妈。但自从小孩断奶后,四年里仍然出现持续溢乳、闭经的情况,她刚开始以为是女性妇科问题,又听人说是因为月子没坐好,生完孩子卵巢早衰?李小姐非常担心,自己才25岁啊,怎么会卵巢早衰呢?一直在当地妇幼保健医院就诊。四年过去了,吃过无数的药,也做过多项检查,症状依然没有改善。大概在2个多月前无明显诱因出现头晕头痛,于是行头颅MRI检查,结果提示鞍区占位性病变,考虑垂体腺瘤可能。http://www.999brain.com/

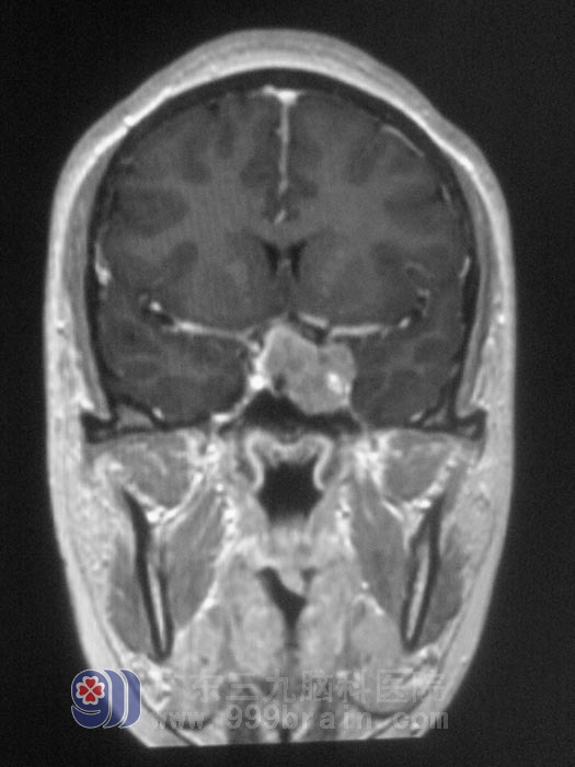
术前
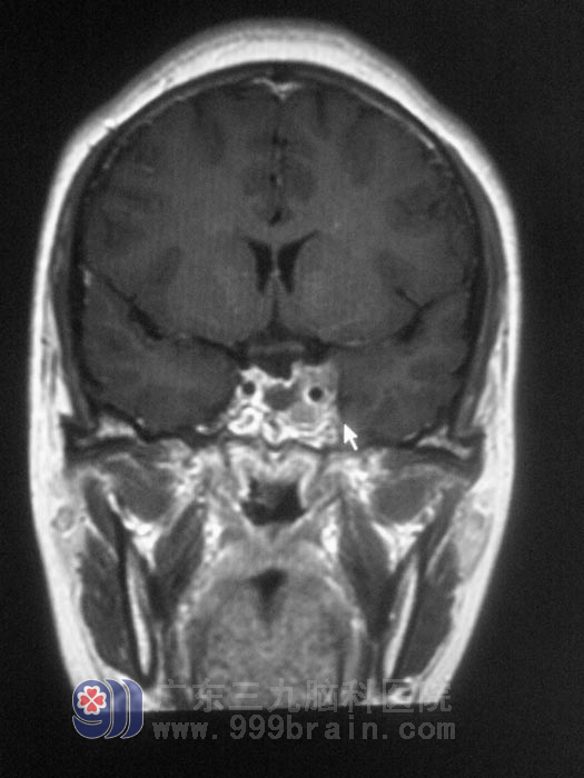
经人介绍,李小姐来到广东三九脑科医院垂体瘤诊疗中心,术前泌乳素171微摩尔每升,MR提示肿瘤大小为2.0*2.0*3.0cm,经讨论决定行经鼻蝶入路微创手术。11月22日,经德国进口导航仪定位,由垂体瘤诊疗中心鲁明主任主刀,在显微镜下见肿瘤呈淡红色胶状,予肿瘤切除,术后未出现脑脊液漏、视力视野损害及尿崩等并发症,复查泌乳素下降为37.6微摩尔每升。病理结果为:多激素分泌型垂体腺瘤。李小姐这颗悬着的心总算放下来了,恢复了以前的快乐生活。李小姐说广东三九脑科医院为她找到了起病原因,并治好了她,以后她自己也会注意,定期复查,保持良好心态。http://www.999brain.com/

术后
垂体瘤是发生在垂体上的肿瘤,通常又称为垂体腺瘤,是常见的神经内分泌肿瘤之一,约占中枢神经系统肿瘤的10-15%。绝大多数的垂体腺瘤都是良性肿瘤。目前对垂体瘤的治疗还是以手术为主,辅以药物治疗、放射治疗、伽马刀。药物主要是溴隐停,疗效还不是很肯定,且价钱也较贵,一片药要几块钱。只要刀开得好,绝大多数垂体瘤是能够治愈的。垂体瘤的位置在鞍区,周围有视神经、颈内动脉、下丘脑等重要神经结构,所以手术还是有一定风险的。当然,每个垂体瘤病人的风险也各有差异。一般长得越大,难度越大。所以,要开刀还是要找大医院,找专家。 目前手术方法有经蝶窦,开颅和伽马刀。
【我要咨询】 13602473181 020-87734296
【了解更多】 综合神经外科
