额部巨大占位伴大脑镰下疝形成
发布时间: 2018年08月15日 出处:综合神经外科 编辑:XL 点击次数:38758
一个月前,75岁的谭爷爷出现手脚没力,因为之前有过多次同样的症状,所以并未重视,觉得不是什么大问题,自己注意日常休息保养即可。直到出现了小便失禁才得以重视。
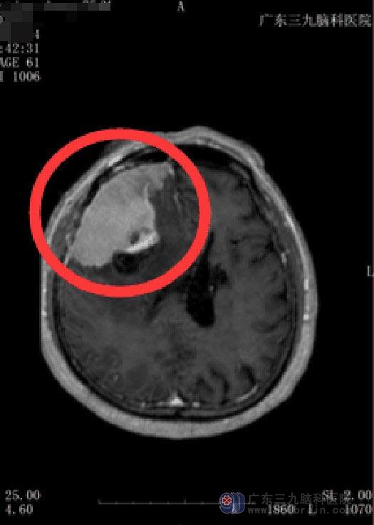
广东三九脑科医院颅脑MR提示:1.右侧额部占位性病变,范围约为7.6cm×3.8cm×4.9cm,考虑为脑膜瘤可能;2.右侧大脑镰下疝形成;3.左侧基底节-放射冠区陈旧性腔梗灶;4.右侧横窦及乙状窦显影偏细,考虑为发育因素;5.双侧筛窦、左侧上颌窦及蝶窦炎症。

大脑镰下疝多为一侧幕上占位性病变所引起,有时可因大脑前动脉受大脑镰压迫而发生同侧额叶内侧面或旁中央小叶的软化,出现对侧下肢瘫、感觉减退和排尿功能障碍等症状。
完善术前检查后,鲁明副院长主刀行“右侧额部占位病变切除术”,术中见肿瘤主体位于额部并侵犯脑膜,与周围边界模糊,肿瘤血供丰富,灰白色质软,显微镜下全部切除肿瘤、肿瘤周边受侵犯硬膜切除。术后病理:脑膜皮细胞型脑膜瘤,WHO I级。

