右侧蝶骨嵴旁脑膜瘤伴脑水肿
发布时间: 2018年08月17日 出处:综合神经外科 编辑:XL 点击次数:36185
蝶骨嵴脑膜瘤是颅内常见的肿瘤,是起源于蝶骨大、小翼上的脑膜瘤,临床依据肿瘤所处的位置可以分为内侧型和外侧型肿瘤。主要的治疗方式是手术切除,其中内侧型和外侧型手术难度不同,内侧型蝶骨嵴脑膜瘤常包绕颈内动脉、大脑中动脉、视神经,与海绵窦紧密联系,手术切除难度很大。
近日,广东三九脑科医院综合神经外科手术切除一例伴脑水肿蝶骨嵴脑膜瘤,手术后患者症状缓解明显,没有出现异常并发症。。
小娟一年前出现四肢乏力,持续时间约1-2分钟不等,在当地医院就诊,未行头颅相关检查及治疗。后期因为没有出现其它不适症状,认为只是过度劳累,便没有继续就诊。
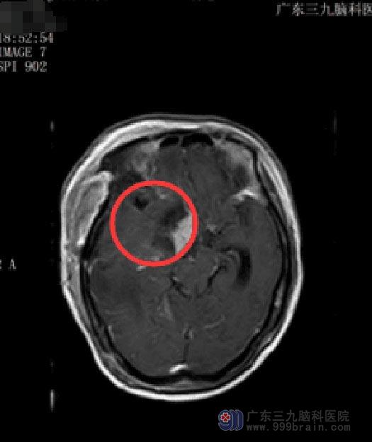
近期她再次出现相同症状,四肢乏力也愈发严重,这回小娟有点紧张了。在广东三九脑科医院头颅MR检查显示“右侧鞍旁占位性病变,考虑脑膜瘤,并右侧海绵窦受累,邻近脑实质受压、水肿”,此时,她的右眼已经完全失明。

结合患者症状、体征、头颅MR检查,考虑小娟病史较长,病情进行缓慢,查体出现定位体征,肿瘤在CT上表现为等密度或稍高密度,有占位效应,肿瘤边界清楚,呈圆形、类圆形或不规则分叶形,多数瘤周存在一环形或弧形的低信号区,强化或增强后呈均匀明显强化,考虑脑膜瘤可能性大。
在确认小娟没有绝对手术禁忌症后,鲁明副院长主刀行“右侧前中颅窝脑膜瘤切除术”,术中暴露中颅窝底,见灰白色肿瘤,质韧,有完整包膜,血供较丰富,分块切除肿瘤,术中颈内动脉、大脑中动脉、大脑前动脉、视神经、动眼神经均保护完整。术后小娟肢体乏力症状明显好转。术后病理提示:脑膜皮细胞型脑膜瘤,WHO I级。

