抽搐,提心吊胆了十年
发布时间: 2018年09月27日 出处:综合神经外科 编辑:XL 点击次数:36153
43岁的李阿姨十年前在家中突然出现四肢抽搐、没有意识,持续时间约10分钟。家人吓得不知所措,以为李阿姨是怪病缠身。
一直反复地出现四肢抽搐,发作不规律,平均2个月一次。这让她和家人一直胆战心惊,不敢单独出门活动,不敢独自在公路上骑自行车。这样的日子,折磨了他们10年之久。
在朋友的建议下,他们来到了广东三九脑科医院。头颅CTA检查显示:右侧颞顶部内骨内板下占位病变伴较多钙化,其内见少许小血管,考虑脑膜瘤的可能性较大。
综合神经外科鲁明主任告诉他们:脑肿瘤疾病中,癫痫的发生率约为30%,其中半数病人为首次症状,有的是长时间内的唯一症状。癫痫的发作与肿瘤的部位和性质有一定关系,运动区及其附近的肿瘤癫痫发病率较高。发作的原因多由于肿瘤的直接刺激或压迫所引起,手术治疗是首选方法。
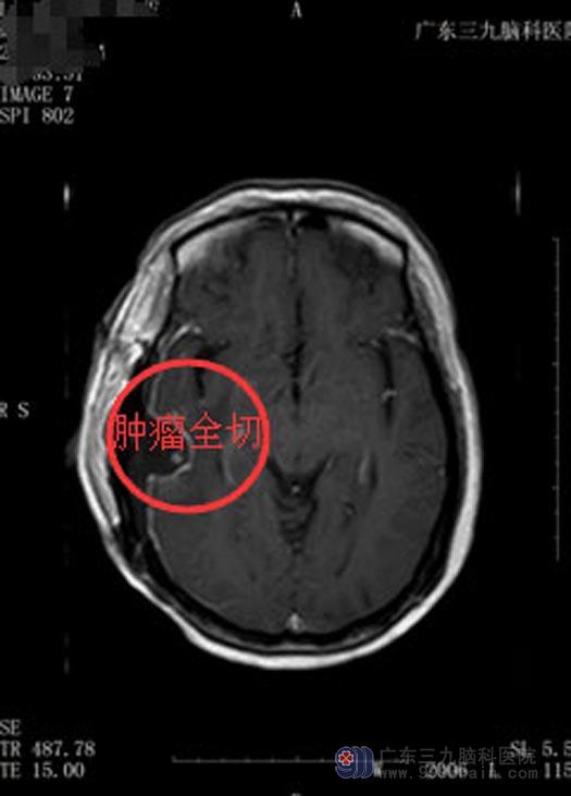
鲁明主任主刀在全麻下行“右侧颞部占位病变切除术”,导航准确定位,术中见病变组织成灰褐色,质软,边界清晰,血供丰富;顺利地将肿瘤分块切除。
李阿姨已康复出院,家人再也不用每天都提心吊胆了。

手术前

手术后

