术中唤醒 ——脑功能区手术的新方法
发布时间: 2018年10月18日 出处:综合神经外科 编辑:XL 点击次数:41472
大脑功能区病变的手术治疗一直是神经外科的难题,术中唤醒手术切除术是当前解决保留功能和彻底切除病变矛盾的最新策略。术中唤醒技术使病人在清醒的状态下,运用神经导航和神经电生理技术进行术中神经解剖功能定位,以便术中实时监测可能发生的脑功能区损伤,在患者配合下切除脑肿瘤,最大限度地降低手术带来的后遗症,是当前脑功能区手术的新方法。
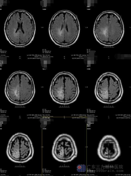
年过半百的石叔二年前左下肢出现阵发性麻木;开始时每两个月发作一次,持续几分钟后可以缓解,不发作时和正常人一样。当地医院头颅MRI检查结果示:“右侧顶叶片状异常信号,考虑低级别胶质瘤可能性大。”他担心手术以后的后遗症,选择了药物治疗,但是症状没有明显好转。
近5天来,石叔的麻木症状加重,而且发作变得频繁,同时伴有头晕头痛。为求进一步的治疗,入住广东三九脑科医院综合神经外科,医生建议在唤醒麻醉下行脑肿瘤切除术。
传统的全身麻醉手术切除脑肿瘤,容易伤及大脑功能区,造成患者术后肢体偏瘫、失语、失明等后遗症。唤醒麻醉手术相比传统的全身麻醉手术优势在于,能通过让患者完成指定动作来在术中评价患者的语言、肢体等功能,并在电生理监测的帮助下避开功能区,在完整切除肿瘤的同时能够尽可能地保护患者的肢体、语言等功能。
鲁明副院长主刀在唤醒麻醉下行右侧顶叶肿瘤切除术。手术中,利用导航准确地定位右侧顶叶的病变组织的位置,并在充分准备后唤醒患者完成医生要求的指定动作,利用电生理检测运动中枢,避开上下肢体运动中枢,显微镜下完整地切除肿瘤。手术过程顺利,患者肢体活动良好,待继续康复后出院。

手术前


