右额颞岛叶-左额颞叶巨大胶质瘤
发布时间: 2018年12月21日 出处:胶质瘤诊疗中心 编辑:XL 点击次数:51450
梁先生,3年前开始出现阵发性头痛,能自行缓解;4天前头痛症状加重,当地医院头颅MR提示“双额、右颞岛叶占位性病变”,在朋友的推荐下来到广东三九脑科医院综合神经外科。
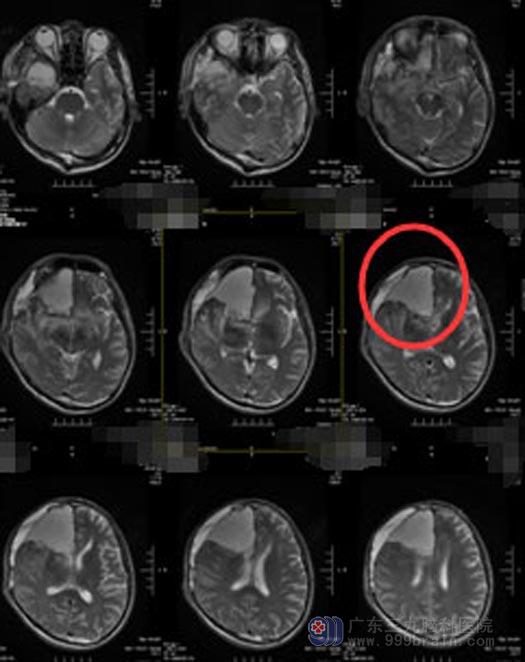
进一步MRI检查显示:右额颞岛叶-左侧额颞叶见不均匀异常信号影,大小约为65mm×45mm×71mm,边界模糊,诊断:.右额颞岛叶-左侧额颞叶弥漫性占位性病变,考虑高级别胶质瘤,以间变性星形细胞瘤可能性大。

脑功能区的肿瘤,常规手术难以彻底切除病灶,且容易损害脑功能区导致后遗症。为最大限度切除肿瘤并且最大限度保护患者功能,经家属同意后,由鲁明主任主刀,在唤醒麻醉下实施“右额颞岛叶、左额颞叶巨大占位性病变+硬脑膜修补术”。术前导航,利用神经电生理技术精确定位脑重要功能区,并探询病变与功能区的关系,在患者配合下顺利将肿瘤全切除。术后患者神志清醒,四肢肢体肌力V级,肌张力正常,术后病理:(右额颞岛叶、左额颞叶)胶质瘤,WHO III级。


