鱼眼镜头下切脑瘤
发布时间: 2019年09月16日 出处:垂体瘤诊疗中心 作者:郭学伦 编辑:XL 点击次数:10659
李女士几个月前开始头痛头晕,在附近医院检查后,诊断为“颅内鞍区占位--考虑垂体大腺瘤”。由于当地医院的技术和设备难以满足李女士治疗需求,她来到了广东三九脑科医院的神经外五科。
来医院之前,李女士已经预想过自己手术后的样子:剃光了头发、头上有个大口子、脑袋上包满了纱布,不但秀发没有了,出院后头上还留着难看的疤痕。
住院后,李女士的主管医生邓心情告诉她:这些担心,其实是多余的,我们采用的是新型的针对鞍区占位的微创手术方式,用直径只有4毫米的神经内镜进入鼻腔,再在内镜下将肿瘤切除;患者的创伤小,出血少,痛苦小,风险更低,术后康复更快,由于不需要剃头发开颅,患者的外观容貌不会发生变化。
完善相关检查与术前准备后,由鲁明主任主刀行“神经内镜下经鼻蝶鞍区占位切除术”,手术很顺利,脑瘤被完整的切除。几天后,李女士便顺利出院。回访时,李女士在电话里高兴地告诉医生:左邻右舍都看不出来我是做过手术的人。

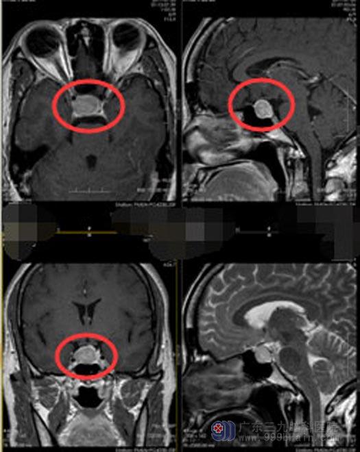
▲手术前

▲手术后
垂体腺瘤起源于蝶鞍内的垂体,其周围结构复杂,有正常的垂体、颈内动脉、海绵窦、多个颅神经、视交叉、下丘脑等重要结构包绕或比邻,手术中的任何偏差都有可能引起严重后果。
神经内镜技术具有创伤小、视角灵活等优点,其灵活的“多视角观察”及“鱼眼效应”能让术者更近距离的以宽阔视野观察鞍内结构,最大程度的保留垂体功能、避免损伤。神经内镜进入鞍内观察瘤腔深部和侧壁残留的肿瘤组织,甚至可以观察到鞍旁和鞍上的部分肿瘤,增加了全切率。曾做为垂体手术主导术式的显微镜下的经蝶手术已逐渐向内镜下鼻内经蝶手术过渡,神经内镜下经鼻蝶垂体瘤切除术是目前首选的诊疗方式。

