喝不够的水 排不尽的尿
发布时间: 2019年11月26日 出处:垂体瘤诊疗中心 作者:代晟 编辑:XL 点击次数:10835
49岁的潘大哥血压有些高,吃了好几年的降压药。最近一两年感觉自己“烦渴,多饮,多尿”,他和家人一直认为这些症状是高血压引起的,觉得多喝点水,多去几趟厕所也没有什么大不了。
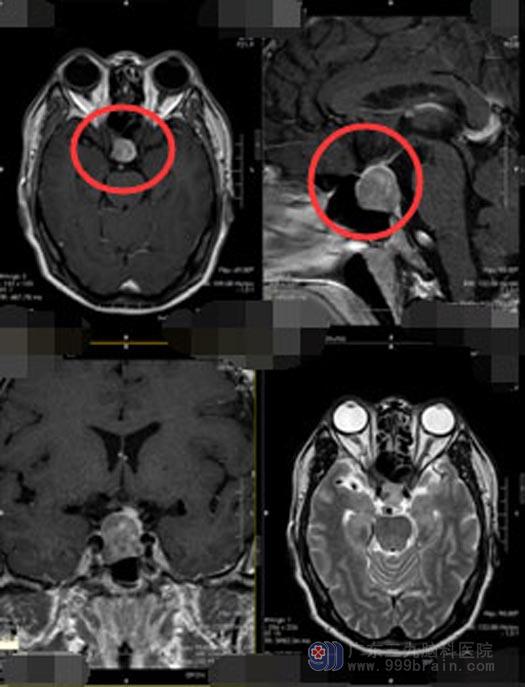
最近几个月,潘大哥在血压控制正常的时候也会出现头晕头痛症状,这引起了他的警觉。当地医院头颅MR提示“鞍区占位性病变,考虑垂体瘤可能”。由于当地医院医疗水平有限,吓坏了一家子人经过多方打听,找到了广东三九脑科医院垂体瘤诊治中心。经过进一步的检查,也同样考虑是垂体瘤可能。
看到潘大哥一脸的茫然,主管医生和他解释:垂体瘤是源于垂体前叶和后叶以及颅咽管上皮残余细胞的肿瘤,属于良性腺瘤,是最常见的鞍区病变,慢慢吞噬人的身心健康;随着肿瘤体积增大,向上伸展压迫视交叉,可出现视野缺损;向侧方生长侵犯海绵窦壁,则出现动眼神经或外展神经麻痹;肿瘤向后上生长压迫垂体柄或下丘脑,可致多饮多尿;肿瘤突破鞍隔再向上生长致额叶腹侧部,可出现精神症状;向后上生长压迫第三脑室前部和室间孔,造成梗阻性脑积水后则出现头痛呕吐等颅内压增高症状;向后生长可压迫脑干致昏迷、瘫痪或去大脑强直等。
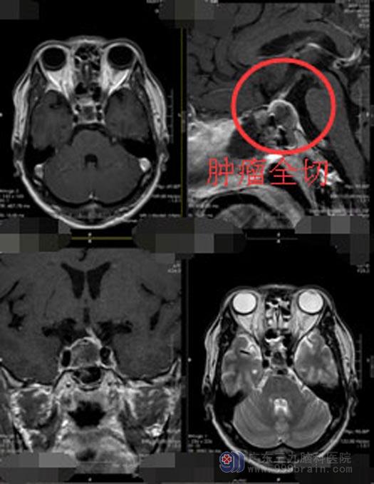
脑垂体瘤的治疗刻不容缓,经鼻蝶手术是最佳的治疗方案,该手术具有创伤小,并发症少,恢复快等特点。得到潘大哥和家人的同意后,垂体瘤诊治中心的手术团队为他实施了“内镜经鼻蝶鞍区垂体腺瘤切除术”。手术过程很顺利,肿瘤被完整的切除。
术后的潘大哥恢复得很好,头痛头晕症状消失,也没有了烦渴、多饮、多尿。

▲手术前

▲手术后

