祸不单行福双至
发布时间: 2020年04月21日 出处:神经外五科 编辑:XL 点击次数:9717
56岁的张先生,3天前出现间歇性头晕,伴有夜间尿多,当地医院就诊,头颅CT检查发现有颅内占位。广东三九脑科医院头颅MRI示:鞍区巨大垂体腺瘤伴瘤卒中,大小约4.3cm×3.1cm×2.8cm,邻近双侧颈内动脉及双侧大脑前动脉受压移位,右侧颈内动脉部分被包绕,视交叉明显受压上抬并向前移位。头颅CTA示大脑前交通囊状动脉瘤,大小约4.6mm×3.4mm。


▲术前MR ▲术前DSA

▲术前CTA
祸不单行: 鞍区巨大垂体腺瘤伴瘤卒中合并脑动脉瘤,无论哪个祸都可以威胁张先生的生命安全。
明知山有虎偏向虎山行,医院副院长、神经外五科主任鲁明决定迎难而上,带领团队利用神经内镜,从鼻孔入路切除垂体大腺瘤并夹闭动脉瘤。
经鼻内镜手术是以治疗颅底肿瘤为主要发展方向,而治疗脑动脉瘤则属创新型微创手术;两种疾病一次解决更是需要手术医生必须具备良好的内镜解剖基础和熟练的内镜操作技术,这对于手术成功至关重要。
消除患者及家属的顾虑后,由鲁明主刀在全麻下行“内镜经鼻蝶鞍区巨大垂体腺瘤切除术+前交通动脉瘤夹闭术”。术中全切肿瘤,垂体柄、视交叉保护完好。前交通位置见囊状动脉瘤,予夹闭,电生理监测提示动脉瘤夹闭术后体感和运动诱发电位正常,超声监测提示双侧大脑前A1、A2段血流速佳。手术顺利结束。


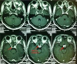
▲术后MR
术后双侧鼻腔填塞纱条,张先生神志清醒,回答正确,可以遵嘱活动,双侧视力、视野同术前,无尿崩、离子紊乱等术后并发症。病理提示:促性腺激素细胞腺瘤。


