矮了,胖了,停经了
发布时间: 2020年05月12日 出处:神经外五科 作者:卢燕荔 编辑:XL 点击次数:8545
早在几年前, 还在学校读书的18岁小珍,发现自己的月经从不正常到慢慢的停经了,与此同时,她开始发胖、脸上长痘痘,肚子和手臂出现妊娠纹样的斑纹。
原本清秀开朗的小珍陷入了自卑。家人带着她四处求医,在屡屡妇科检查和服药后,小珍仍没有月经,脸型和体型也越来越“难看”,逐渐地变成了“满月脸”、“水牛背”和满脸的痤疮以及浑身多处的紫色斑纹。
2018年,经朋友建议,小珍和家人来到了广东三九脑科医院神经外五科。头部MR检查提示:垂体底部病灶,待排垂体腺瘤;皮质醇 247.5 ↑ ug/L 、促肾上腺皮质激素 132.8 ↑ ng/L 。行内镜经鼻蝶垂体腺瘤切除术,手术顺利。术后复查内分泌结果:皮质醇 123.9 ug/L ,促肾上腺皮质激素 30.4 ng/L 。病理结果提示:多激素垂体腺瘤。
欣喜的是,小珍出院后不仅有了月经,而且还在今年年初,生下一个可爱的小宝宝。
2个月前,小珍感到脸部痤疮又明显了。根据之前的经验,家人建议她赶紧回医院复查,颅脑MR显示“鞍区术区偏右侧占位性病变,半包绕右侧颈内动脉,考虑肿瘤复发”。小珍再次入住神经外五科。
完善术前检查后,小珍在内镜下经鼻蝶鞍区行复发垂体腺瘤切除术。术中全切肿瘤,海绵窦内侧壁及颈内动脉,右侧海绵窦内侧壁无肿瘤残留,无脑脊液漏。术后病理结果提示:促肾上腺皮质激素细胞腺瘤,术后皮质醇:139.8 ug/L。出院后的小珍视力视野正常,无其他不适症状。

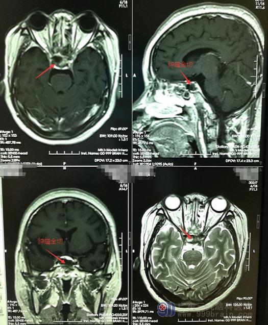
▲手术前

▲手术后
主治医生邓心情告诉小珍:促肾上腺皮质激素细胞腺瘤为垂体细胞瘤的一种亚型,占垂体腺瘤的5% -15%,可分泌促肾上腺皮质激素。该类肿瘤临床表现为皮质醇增多,导致一系列物质代谢紊乱和病理变化,引起碳水化合物、蛋白质、脂肋代谢异常,青少年发病可影响生长发育,主要表现为矮胖、脸红、皮肤较薄、背部脂肪多、腹部大腿部皮肤有紫纹、毳毛增多等典型症状,年长者发病多并发心脏、血管、感染性疾病。
治疗促肾上腺皮质激素细胞腺瘤,首选理想的方法是经蝶显微外科切除,此肿瘤为高复发风险腺瘤,邓心情叮嘱小珍一个月后需返院复查。


