特别能喝水
发布时间: 2021年01月20日 出处:神经外五科 作者:郝玲 编辑:XL 点击次数:7560
郑大哥的身体一直没有什么大毛病。自前年退休后,他闲暇的时间多了,喝水的量也多了。可奇怪的是,喝再多的水,还是感觉烦渴;水喝得多,尿也多了。他没有糖尿病,以为是自己年龄大了,各项生理功能减弱引起的。
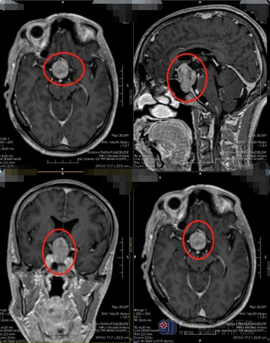
近一周时间,郑大哥发现自己偶尔会出现头晕伴恶心,这下,他有些紧张了,立即去当地医院检查,头颅MR检查提示“鞍区占位性病变,垂体瘤可能”。郑大哥不相信这样的事会发生在自己的身上,为了证实病情,他来到了广东三九脑科医院神经外五科,经过进一步的检查后,医院副院长、神经外五科主任鲁明认为患者患垂体瘤的可能性非常大。

脑垂体为重要的内分泌器官,内含数种内分泌细胞,分泌多种内分泌素;脑垂体瘤为良性脑肿瘤,比较常见,虽不像恶性肿瘤那么可怕,但是一旦患上也会给身体健康造成很大的影响,如果某一内分泌细胞生长腺瘤,则可发生特殊的临床表现;如果垂体瘤向后上生长压迫垂体柄或下丘脑,可致多饮多尿;如果肿瘤向侧方生长侵犯海绵窦壁,则出现动眼神经或外展神经麻痹;如果肿瘤穿过鞍隔再向上生长致额叶腹侧部,有时出现精神症状;如果肿瘤向后上生长阻塞第3脑室前部和室间孔,则出现头痛呕吐等颅内压增高症状;如果肿瘤向后生长,可压迫脑干致昏迷、瘫痪或去大脑强直等。首选治疗为手术摘除,治疗目的在于彻底切除肿瘤,尽力保留正常的腺垂体组织,避免术后出现腺垂体功能减退症。
郑大哥有明确的手术指证,应尽早手术,否则病情会向更为严重的方向发展。完善相关的术前准备后,由鲁明主刀为患者行全麻下“经鼻蝶鞍区占位切除术,”手术非常成功,术中出血少。术后郑大哥恢复很快,也没有出现手术并发症。



