“踏颅无痕”
发布时间: 2022年01月20日 出处:神经外五科 作者:郭学伦 编辑:XL 点击次数:5234
“我做了脑袋里的手术,却看不见任何伤口”,广东三九脑科医院的住院患者黄女士见人就开心地讲。她说的正是前几天自己做的颅内肿瘤切除手术。
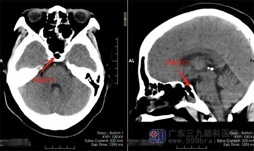
黄女士因为左眼视力下降,被广东三九脑科医院神经外五科诊断为“颅内鞍区占位”,需要手术治疗。
知道病情后,黄女士觉得自己是免不了要开颅了,她甚至都想象出了自己手术后的样子:躺在床上,头发没了,脑袋上缠满纱布,伤筋动骨一百天,康复后头上还留有长长的伤疤。
当主管医生告诉她:想多了,我们不给你开颅,黄女士是既兴奋又疑惑, “不开颅怎么能把瘤子切掉?”。
医生告诉黄女士,颅脑鞍区靠近头颅的中心和颅底正中的位置,其对应颅脑外的投影是蝶窦。而鼻腔和鼻窦是人体本身就具有的空间,这些空间可以作为很好的手术入路。内镜经鼻蝶鞍区占位切除术是利用只有4毫米左右粗的神经内镜进入鼻腔,进去以后,犹如带有地图一般迅速找到肿瘤位置,主刀医生就可以在内镜下将其切除掉。传统开颅切除鞍区肿瘤的方法,切口大、风险高,对患者的创伤大,患者需要的康复时间长。而内镜经鼻蝶鞍区占位病变切除术,创伤小、出血少、痛苦小、风险更低、术后康复更快。
完善相关检查与术前准备以后,黄女士接受了神经外五科治疗团队施行的“内镜经鼻蝶鞍区占位病变切除术”,手术很顺利,肿瘤被完整的去除了。术后的黄女士视力得到明显的改善。

▲术前

▲术后

